Робоча група: В.М. Коваленко, М.М. Долженко, О.С. Сичов, Ю.А. Іванів, С.В. Поташев, Л.М. Грубяк
Ехокардіографія (ЕхоКГ) сьогодні є одним з найпотужніших діагностичних та моніторингових інструментів сучасної невідкладної медицини. Але до сьогодні в Україні не були сформульовані рекомендації щодо її використання при невідкладних серцево-судинних станах. Даний документ описує практичне застосування ЕхоКГ у пацієнтів з невідкладними серцево-судинними станами, зокрема з гострим болем в грудній клітці, гострою серцевою недостатністю, підозрою на тампонаду серця, ускладненнями інфаркту міокарду, гострою патологією клапанів серця, включаючи ендокардит, гострою патологією висхідної аорти та ускладненнями різних інвазивних втручань. Також розглянуто окремі аспекти відносно застосування ЕхоКГ при інших гострих серцево-судинних сценаріях
Ключові слова: невідкладна кардіологія, пацієнти у критичному стані, ехокардіографія, рекомендації
Вступ
Ехокардіографія (ЕхоКГ) є одним з найпотужніших інструментів для діагностики та моніторингу, що є сьогодні доступними в умовах сучасних закладів невідкладної допомоги в критичних станах, інтенсивної терапії та реанімації, а забезпечення вчасного ЕхоКГ дослідження є фундаментальним у веденні пацієнтів з гострими серцево-судинними захворюваннями. ЕхоКГ здатна надавати важливу інформацію протягом всього періоду ведення та спостереження пацієнта. Доведено, що результати ЕхоКГ впливають на тактику ведення пацієнтів в 60 – 80% випадків на догоспітальному етапі, поліпшують діагностичну точність та ефективність в умовах реанімації та допомагають з'ясувати етіологію невизначеної гіпотензії в 48% пацієнтів відділень інтенсивної терапії, а також надають додаткову цінну інформацію поза результатами катетеризації легеневої артерії. ЕхоКГ сьогодні включено в універсальний протокол ведення хворих з гострим інфарктом міокарда (ГІМ) та в міжнародні рекомендації ведення пацієнтів з зупинкою серця. В умовах інтенсивної терапії ЕхоКГ може бути використане для визначення та моніторингу серцевого викиду, та для визначення порушень внутрішньо серцевої гемодинаміки та коронарної перфузії, а також для забезпечення стандартизації анатомічної інформації, що має відношення до діагнозу. Хоча потенційний спектр застосування ЕхоКГ є очевидним, до сьогодні не було спеціалізованих рекомендацій щодо застосування ЕхоКГ в умовах гострої серцево-судинної допомоги в Україні. В даному документі описане практичне застосування ЕхоКГ у пацієнтів з гострими серцево-судинними станами, зокрема з гострим болем в грудній клітці, гострою серцевою недостатністю (СН), підозрою на тампонаду серця, ускладненнями ГІМ, гострими порушеннями клапанної функції, включаючи ендокардит, гострою патологією висхідної аорти та ускладненнями після інвазивних втручань. Також описані специфічні аспекти щодо використання ЕхоКГ в умовах гострих кардіальних станів.
Типи ЕхоКГ візуалізації
Численні перешкоди для візуалізації в умовах гострих станів є добре документованими та складаються з переліку багатьох факторів, що включають анатомічні та конституціональні особливості пацієнта, його стан (лежачий, сидячий, тощо), застосування штучної вентиляції легенів (ШВЛ) з позитивним тиском, травму легенів та супутніх ускладнень (пневмоторакс, пневмомедіастінум, тощо), супутні травми (голови та шиї, грудної клітки, тощо) та наявність бинтів, дренажів, пов'язок, тощо. Крім того дані ЕхоКГ повинні інтерпретуватися в контексті того, що пацієнт має гострий, критичний та невідкладний стан, що має враховувати перелік факторів, що в нормі не враховуються ехокардіографістом (Таб. 1). Крім того, можуть існувати критичні фактори, що також ускладнюють роботу ехографіста та інтерпретацію даних (напр., зупинка серця).
Таб. 1 Стани та фактори, що можуть вплинути на ЕхоКГ знахідки та інтерпретацію результатів у хворих в крітичних станах
-
Штучна вентиляція легенів (ШВЛ) з позитивним тиском
-
ШВЛ з інтубацією
-
Різні режими вентиляції
-
Зняття з вентиляції
-
Об'єм циркулюючої крові (ОЦК)
-
Інотропний статус
-
Метаболічний статус
-
Ефекти седації при гострому інфаркті міокарду
-
Рівні O2 та CO2
-
Механічна підтримка кровообігу
-
Екстракорпоральна підтримка дихання
-
Різні впливи на праві та ліві відділи серця
-
Взаємодія між шлуночками в контексті респіраторної підтримки
-
Визначення нормальних реферативних меж в умовах інтенсивної терапії та реанімації
-
Виключення більшості таких пацієнтів з рандомізованих контрольованих досліджень
|
Вибір методу візуалізації в популяції пацієнтів з невідкладними та гострими станами має залежити не тільки від чутливості та специфічності методики для даного потенційного діагнозу, але й має включати ризики транспортування до потенційно віддалених відділень лікувального закладу (напр., на комп’ютерну томографію (КТ) або магнето-резонансну томографію (МРТ) серця). Тому ЕхоКГ, як методика, яку можливо застосовувати «у ліжка хворого» є особливо важливою в умовах кардіологічної інтенсивної терапії та реанімації.
Трансторакальна ЕхоКГ
Трансторакальна ЕхоКГ (ТТЕхоКГ) є загальною початковою методикою візуалізації при оцінці гострих серцево-судинних станів. Вона є широко доступною, та більшість кардіологів звичайно вміють її інтерпретувати, як вимагається у більшості клінічних сценаріїв, асоційованих з умовами відділень реанімації та інтенсивної терапії (ВРІТ) [2]. Часто в умовах ВРІТ оптимальні результати ТТЕхоКГ є неможливими, при цьому часто приходиться вдаватися до нестандартних ультразвукових (УЗ) вікон. Якщо можливості проведення дослідження є обмеженими тільки стандартними доступами [3], це часто може призводити до того, що важливі знахідки, критичні для візуалізації та розуміння патології та патофізіології, пропускаються. Не зважаючи на ці труднощі, ЕхоКГ в умовах ВРІТ слід застосовувати так широко, як тільки можливо, а відділення має бути забезпеченим повноцінним сучасним апаратом для ЕхоКГ [3, 4]. Це положення має бути відокремлене від тенденції до фокусного ЕхоКГ та/або виконання дослідження «кишеньковими» пристроями малого розміру.
Черезстравохідна ЕхоКГ
Черезстравохідна ЕхоКГ (ЧСЕхоКГ) звичайно є показаною при не інформативності результатів ТТЕхоКГ. Втім, в умовах ВРІТ ЧСЕхоКГ може виступати методикою візуалізації першої лінії, коли з самого початку передбачається не інформативність ТТЕхоКГ або при певних клінічних сценаріях, коли обов’язковим є оптимальна візуалізація певних структур серця та/або великих магістральних судин. Довіра результатам субоптимальної візуалізації підчас ТТЕхоКГ може призвести до пропусків або невірної інтерпретації отриманих знахідок, та хибних діагнозів в наслідку з життєво небезпечними наслідками для пацієнта. ЧСЕхоКГ звичайно є необхідною особливо у випадках гострих аортальних синдромів, гострої клапанної регургітації, гострої дисфункції клапанних протезів, травмі грудної клітки, розшарування аорти та фібриляції/тріпотіння передсердь для виключення тромбозу [2, 5]. Дослідження не слід проводити у пацієнтів в стані гіпоксії або у тих пацієнтів, що не можуть самостійно забезпечити прохідність дихальних шляхів без попередньої інкубації та ШВЛ. В популяції пацієнтів в критичних станах перед проведенням ЧСЕхоКГ слід виключити або коригувати наявну коагулопатію, проводити інкубацію стравоходу під контролем прямої ларингоскопії, та розглядати необхідність застосування педіатричних датчиків для мінімізації потенційної травми, особливо у пацієнтів на механічній кардіальній та респіраторній підтримці. Підчас дослідження потрібен моніторинг дихання та гемодинаміки відповідним спеціалістом (анестезіолог, реаніматолог), присутнім підчас ЧСЕхоКГ.
ЕхоКГ з контрастуванням
ЕхоКГ з контрастуванням контрастними агентами другого покоління дозволяє суттєво покращити візуалізацію ендокарду [6], що є особливо корисним для оцінки систолічної функції лівого шлуночка (ЛШ) у пацієнтів з поганою візуалізацією меж ендокарду ЛШ, особливо у випадках псевдоаневризм та внутрішньокардіальних об'ємних утворень (мас) [7, 8]. В умовах гострої СН контрастування дозволяє значно покращити якість зображення допплерівських спектрів («конвертів»), що допомагає в діагностиці важкого аортального стенозу (АС) у пацієнтів з поганою візуалізацією. Також його можна використовувати для покращення діагностики розшарування аорти [9]. Не зважаючи на певні міркування безпеки такого дослідження раніше, недавно опубліковані дані показали, що проведення контрастування не збільшує ризик смертності навіть у пацієнтів в критичних станах [10-13]. Збовтаний фізіологічний розчин може бути корисним в диференційній діагностиці внутрішньосерцевих та інтрапульмонарних шунтів, та може використовуватись для підтвердження коректного розташування дренажу підчас перикардіоцентезу під контролем ЕхоКГ. Деталі з клінічного застосування контрастної ЕхоКГ наведені у відповідних рекомендаціях Європейської асоціації серцево-судинної візуалізації [14].
Ультразвукове дослідження легенів
Ультразвукове дослідження (УЗД) легенів може виконуватися на будь-якому доступному УЗ-апараті в В-режимі, включаючи «кишенькові» пристрої, та може бути корисним в диференційній діагностиці причин гострої задишки, особливо в діагностиці та виключенні пневмотораксу, гідротораксу та виявленні інтерстеційного набряку [15, 16].
Фокусне ультразвукове дослідження серця
Протоколи фокусного УЗ-дослідження серця (FoCUS) [17, 18] були розроблені для швидкого виявлення значущої кардіальної їпатології та оцінки об'ємів порожнин та функції шлуночків, зокрема, в умовах, де критичним є час дослідження, включаючи зупинку серця та травми. Декілька досліджень показали, що протоколи типу «FoCUS» можуть забезпечити інформацією, необхідною для прийняття рішення в умових гострих станів [17-19]. ЕхоКГ сьогодні є рекомендованим дослідженням (за наявності відповідним чином тренованих медичних працівників) підчас реанімаційних заходів при зупинці серця [19]. При цьому, слід з обережністю використовувати та інтерпретувати результати дослідження за результатом протоколу типу «FoCUS», зважаючи на те, що лімітована кількість швидко досліджуваних показників може призводити до пропусків чи хибної інтерпретації отриманої інформації, якщо тільки виконавець не пам’ятає про них та обмеження таких протоколів [17, 20].
Апаратура для візуалізації «кишенькового» розміру
Апаратура для візуалізації кишенькового розміру рекомендується як інструментарій для первинної візуалізації в умовах відділу реанімації як додаток до об'єктивного огляду в ВРІТ та катетеризаційної лабораторії [21]. Технічні характеристики та якість візуалізації цих нових мініатюрних ЕхоКГ систем звичайно є достатніми для якісної (але не кількісної) оцінки функції шлуночків та клапанів, стану випоту в перикарді та плеврі або екстраваскулярній легеневій рідині [21], втім, вони мають суттєві обмеження щодо їх використання, про які мають знати дослідники, та їх не можна використовувати як повноцінну заміну повноцінного ЕхоКГ дослідження.
Рівень компетентності
Виконання як ТТЕхоКГ, так і ЧСЕхоКГ та інтерпретація результатів у пацієнтів з гострими або критичними серцево-судинними станами вимагає певного рівня компетентності та освіти оператора, по меншій мірі еквівалентного рівню планових ЕхоКГ досліджень [22]. Досвідчений ехокардіографіст звичайно здатен використовувати обидві методики (ТТЕхоКГ та ЧСЕхоКГ) для отримання всієї необхідної інформації. Оператор мусить приймати до уваги патофізіологічний статус пацієнта, часто на фоні стану гемодинаміки, що швидко змінюється, та вміти приходити до певного синтезу всієї отриманої інформації для прийняття адекватного терапевтичного рішення. Для проведення ЧСЕхоКГ та інших сучасних технологій візуалізації в ЕхоКГ оператори мають виконати відповідне тренування або удосконалення з акцентом на виконанні дослідження в гострих ситуаціях та умовах ВРІТ [22]. Зважаючи на те, що ЕхоКГ у пацієнтів в умовах ВРІТ часто вимагається як ургентна або невідкладна процедура, пропонується, щоб усі дослідження проводилися під наглядом відповідного експерта-кардіолога з відповідним рівнем компетентності в ЕхоКГ в умовах невідкладних станів [20, 22]. Принципи, практичні та специфічні аспекти, пов’язані з ЕхоКГ при невідкладних станах викладені у відповідних рекомендаціях [20]. Взагалі рекомендованими є два рівня компетенції: рівень незалежного оператора та рівень оператора-експерта [20]. Наполегливо рекомендується, щоб всі кардіологи, залучені до роботи у ВРІТ та при невідкладних ситуаціях на регулярній основі, пройшли додаткові курси удосконалення, які б включали інтерпретацію щонайменш 150 ЕхоКГ досліджень в критичних або реанімаційних сценаріях з метою подальшого удосконалення технічних навичок та придбання відповідного досвіду [20].
Важливим є підбір адекватних випадків з різними нозологіями, а також принаймні 50 самостійно виконаних досліджень, які б були задокументовані та інтерпретовані під керівництвом експертів. Для некардіологів вимоги мають бути практично такими самими, але з додатковим теоретичним курсом з серцево-судинної реанімації та критичних і невідкладних серцево-судинних станів, що дуже рекомендується.
Компетентність може формально оцінювати за результатами відповідного сертифікаційного процесу після курсів тематичного удосконалення [23].
Клінічні сценарії
Деякі клінічні сценарії представляють певні діагностичні труднощі в певних клінічних умовах від догоспітального етапу та приймального покою до катетеризаційної лабораторії та відділення інвазивної кардіології (Таб. 2).
Зупинка серця
Найбільш екстремальною ситуацією з невідкладних серцево-судинних станів є зупинка серця. Літературні джерела з ЕхоКГ свідчать, що ця методика може використовуватися для діагностика або виключення певних причин зупинки серця, які не можна діагностувати, використовуючи інші діагностично-лікувальні методики (гіповолемія, тампонада, ТЕЛА, важка дисфункція ЛШ / ПШ, ГІМ та напружений пневмоторакс [19, 26]. При належному тренуванні проведення ЕхоКГ не впливає на якість проведення серцево-легеневої реанімації (СЛР) та може потенційно поліпшити якість діагностики та вплинути на тактику лікувальних заходів протягом всього подальшого ведення пацієнта після вдалих реанімаційних заходів. Для проведення ЕхоКГ в таких ситуаціях вкрай бажаним є сертифікація оператора з СЛР (зображення можуть отримуватися тільки підчас перевірки пульсу / ритму). Міжнародні доказові рекомендації свідчать на користь проведення ЕхоКГ підчас СЛР досвідченими та відповідно тренованими операторами для діагностики або виключення потенційно зворотних причин зупинки серця та покращення вибору тактики ведення пацієнта безпосередньо після реанімаційних заходів [19].
Таб. 2. ЕхоКГ ознаки, що можуть вказувати на причину госпіталізації при гострих невідкладних кардіологічних станах.
|
Систолічна СН
|
СН із збереженою ФВ ЛШ
|
ТЕЛА
|
Тампонадад
|
-
ФВ ЛШ <45-50%а
-
КДР ЛШ > 5,5 см та / або >32 /м2
-
КСР ЛШ >4,5 сма та/або 25 мм/м2
-
КДО ЛШ >97 мл/м2
-
КСО ЛШ >43 мл/м2
-
Порушення скоротливості стінок
-
Відносна (функціональна) МР або ТР
-
Пікова швидкість на ТК >3 м/с
-
Інтеграл лінійної швидкості потоку (VTI) <15 сма
-
Діастолічна дисфункція (Е/А ≥2 + DT <150 мс вказує на підвищення тиску наповнення ЛШ)б
УЗ симптом «легеневих комет»в
|
-
ФВ ЛШ ≥50%а
-
КДО ЛШ <97 мл/м2
-
КСО ЛШ <43 мл/м2а
-
E/e’ ≥13б
-
Ar – A ≥30 мс
-
Об'єм ЛП ≥34 мл/м2
-
Пікова швидкість на ТК >3 м/с
УЗ симптом «легеневих комет» + клінічна симптоматика СН
|
-
Тромбоз в порожнинах правих відділів
-
Аномалії рухів стінок
-
Дилатація ПП, ПШ (співвідношення КДР ПШ / ЛШ >0,6 площ >1,0
-
Загальна гіпокінезія ПШ
-
Гіперкінезія за симптомом МакКонеллаг
-
ТР різного ступеня важкості (від легкої до важкої.
Легенева гіпертензія в межах 40-50 мм рт.ст. (>60 мм рт.ст. у випадках, якщо вона вже була в анамнезі
|
-
Звичайно великий гідроперикард
-
Серце, що «качається» («свінг»)
-
Коллапс ПП (рідше ЛП)
-
Діастолічний колапс передньої вільної стінки ПШ (рідше ЛШ)
-
Дилатація НПВ (відсутність інспіраторного колапсу)
-
Збільшення швидкостей діастолічного потоку через ТК та зменшення – на МК на вдиху (на видиху – навпаки)
Систолічні та діастолічні швидкості знижені в системних венах на видиху із прискоренням зворотного потоку підчас систоли передсердь
|
|
а – Можуть сильно впливати використання вазоактивних препаратів.
б – Можуть впливати умови наповнення, особливо при використанні вазоактивних препаратів.
в – Не є симптомом, специфічним для СН, просто вказує на інтерстиційний набряк.
г – Специфічність піддається великим сумнівам.
д – Все ЕхоКГ ознаки повинні інтерпретуватися в клінічному контексті та в світі рівня кардіореспіраторної підтримки. У пацієнтів після недавніх кардіохірургічних втручань ці ознаки можуть бути відсутні. Ознаки, що змінюються залежно від фаз дихання є зворотними при ШВЛ із позитивним тиском.
|
Гострий біль в грудній клітці
Пацієнти з гострим болем в грудній клітці складають значущу пропорцію (20-30%) пацієнтів в ВРІТ, мають високий рівень смертності та потребують швидкої діагностики з метою невідкладного початку патогенетичного лікування. Серед можливих діагнозів найбільш частою причиною больового синдрому є гострі коронарні синдроми (ГКС). ГКС часто характеризуються наявністю болю в грудях, характерними електрокардіографічними (ЕКГ) змінами та змінами профілю певних сироваткових ферментів та білків. Втім, відомо, що перераховані параметри здатні підтвердити діагноз ГКС приблизно лише в 30% гострих ішемічних подій, в той час як у більшості пацієнтів наявні атиповий больовий синдром, або нормальну або неінформативну ЕКГ, або нормальні рівні сироваткових тропонинів на ранніх стадіях події. Тому у значної кількості пацієнтів правильний та ранній діагноз ГКС буває утрудненим. Через це ЕхоКГ є цінним методом «біля ліжка» пацієнта при оцінці походження гострого болю в грудній клітці. ЕхоКГ може бути дуже корисною при діагностиці гострої ішемії міокарда та інших значних причинах болю в грудях, таких як гостре розшарування аорти, випіт в перикарді (гострий перикардит) та ТЕЛА, а також для оцінки болю в грудній клітці у пацієнтів з рефрактерною, незважаючи на втручання, або персистуючою нестабільністю гемодинаміки. Крім того, ішемія міокарду в умовах ВРІТ часто не розпізнається у пацієнтів на інтубації та / або ШВЛ, або у пацієнтів на седації або анестезії в межах рутинного плану лікування. Тому у будь-яка гемодинамічна нестабільність у пацієнта високого ризику є приводом для призначення ЕКГ у 12 відведеннях та ЕхоКГ для диференціальної діагностики. Втім, термін проведення ЕхоКГ не відтерміновує початок невідкладного лікування.
ГКС
ЕхоКГ спокою
При гострому болю в грудях ішемічного ґенезу первинна роль ЕхоКГ полягає в оцінці наявності та ступеня сегментарних порушень скоротливості, що присутні при різних типах ураження міокарда (гостра ішемія, «оглушення», гібернація або некроз). ЕхоКГ сама по собі не може диференціювати просто ішемію та інфаркт. Втім, відсутність сегментарних порушень скоротливості, особливо у пацієнтів з пролонгацією болю в грудях, що триває (>45 хв.), як правило, виключає великі міокардіальні ішемічні події. Слід відмітити, що нормальні результати ЕхоКГ спокою не можуть чітко виключити транзиторні епізоди ішемії в анамнезі, особливо у пацієнтів з короткостроковими нападами болю. У пацієнтів з підозрою на ГКС потенційно корисною методикою є нові методи візуалізації деформації міокарду ЛШ (strain and strain rate), що дозволяють визначити малопомітні аномалії рухів стінок (включаючи постсистолічне вкорочення) [27, 28]. Важливо пам’ятати, що порушення сегментарної скоротливості не є обов’язково синонімом ішемії, та можуть бути присутніми при інших станах, таких як міокардит, стани з перенавантаженням правого шлуночка (ПШ) тиском / об’ємом, синдроми преекзитації ЛШ, кардіоміопатії Такоцубо, блокаді лівої ніжки пучка Гіса (БЛНПГ) або при наявності штучного водія ритму (ШВР). Підчас госпіталізації ЕхоКГ також необхідна для оцінки функції ЛШ
ЕхоКГ з контрастуванням
ЕхоКГ з контрастуванням міокарду є єдиною методикою, що дозволяє невідкладну та одночасну оцінку регіональної скоротливості та перфузії міокарду ЛШ. Декілька досліджень показали високу чутливість ЕхоКГ з контрастуванням міокарду порівняно зі стандартною ЕхоКГ та однофотонною КТ при діагностиці ГКС у пацієнтів, госпіталізованих з болем в грудній клітці на фоні неінформативної ЕКГ [29]. Ця методика також забезпечує достатньо точну прогностичну інформацію. Насправді, пацієнти з нормальною міокардіальною перфузією та функцією в стані спокою звичайно мають добрий прогноз, в той час як наявність дефектів перфузії в стані спокою чітко ідентифікую популяцію пацієнтів з високим ризиком розвитку ГКС[30]. Втім, вибір відповідного технічного забезпечення та коректна інтерпретація результатів є високоспеціалізованою та вимагає певного досвіду, що звичайно лежить за межами рутинної практики реаніматологів та багатьох кардіологів.
Стрес-ехокардіографія
Сьогодні пацієнтам без повторного болю в грудній клітці та з нормальною (недіагностичною) ЕКГ та негативними результатами тропонинів перед випискою рекомендовано проведення тесту з дозованим фізичним навантаженням (ДФН). Стрес-ЕхоКГ є показаним пацієнтам з досягненням субмаксимальної ЧСС підчас ЕКГ-тесту з ДФН або неінфомативними результатами тесту, або якщо пробу з ДФН провести неможливо. Взагалі, якщо проведення стрес-ЕхоКГ є можливим рутинно, йому завжди віддають перевагу перед навантажувальним тестом з ЕКГ. Як стрес-ЕхоКГ з ДФН, так і фармакологічним навантаженням доказово подібні за результатами та відтворюваністю та безпечні при проведенні в умовах гострих станів. Вони надають цінну короткострокову інформацію щодо прогнозу порівняно із SPECT при веденні пацієнтів з болем в грудній клітці, дозволяючи ранню виписку [31] з негативною предиктивною цінністю близько 97%. Стрес-ЕхоКГ з фармакологічним навантаженням (добутамін з доданням атропіну за необхідністю або високі дози дипирідамолу та атропіну) мое використовуватися у пацієнтів, які не можуть, або яким протипоказане ДФН. Добутамінова стрес-ЕхоКГ більш економічно вигідна [32] порівнянно з ДФН. Стрес-ЕхоКГ з контрастуванням також може використовуватися для поліпшення діагностики у пацієнтів із значущими факторами ризику (ФР) з болем в грудній клітці, але з негативними тропонинами протягом 12 годин від початку болю та недіагностичною ЕКГ. У таких пацієнтів негативна стрес-ЕхоКГ з контрастуванням є дуже специфічним предиктором доброго прогнозу [33].
Міокардит
Гострий міокардит (ГМ) є потенційно серйозним станом з дуже варібельною клінікою та клінічним плином захворювання. До сьогодні ЕхоКГ в В-режимі відігравало обмежену роль в діагностиці ГМ внаслідок недостатньої кількості специфічних патогномонічних ознак та/або нормальних знахідках підчас ЕхоКГ спокою при легких формах [34]. Ехо-КГ знахідки у пацієнтів з ГМ є неспецифічними та можуть включати: систолічну та діастолічну дисфункцію ЛШ, порушення сегментарної скоротливості в стані спокою, поява регіональних порушень скоротливості підчас навантаження (переважно завдяки порушенням мікроциркуляції) та неспецифічні зміни текстури ехо-сигналу підчас дослідження [35]. Ехо-КГ також може виявляти внутрішньосерцевий тромбоз, вторинну мітральну та/або трикуспідальну регургітацію та супутнє залучення перикарду. Хоча наявність інтерстиційного набряку міокарду призводить до потовщення стінок шлуночків при ГМ, особливо при його фульмінантних формах [36], ЕхоКГ не здатна точно диференціювати міокардіальний набряк від справжньої гіпертрофії стінок.
Спекл-трекінг ЕхоКГ (СТЕ) є багатообіцяючою неінвазивною методикою, що може допомогти в ідентифікації зон інтрамурального запалення міокарду у пацієнтів з ГМ та без видимих порушень скоротливості або систолічної дисфункції ЛШ за даними вимірів стандартних параметрів. Зниження глобальної повздовжньої деформації (стрейну) та її швидкості (стрейн-рейт) за даними СТЕ корелює з наявністю інтрамурального запалення міокарду за даними ендоміокардіальної біопсії у пацієнтів з ГМ [35]. Втім, векторний аналіз за даними СТЕ не здатен диференціювати зниження глобального повздовжнього стрейну внаслідок запалення від інших причин, що також призводять до порушення повздовжньої скоротливості ЛШ, таких як субендокардіальна ішемія, інфільтративні кардіоміопатії (КМП), токсичне ураження міокарду та інших. Сьогодні для визначення міокардіальної перфузії при різних станах рекомендоване використання ЕхоКГ з контрастуванням в режимі реального часу з низьким механічним індексом міокарду [14], в тому числі при міокардиті.
Було продемонстровано, що зони некрозу та запалення призводять до дефектів перфузії міокарду [37], а виявлення дефектів перфузії, що не відповідають певним відомим зонами коронарного кровопостачання повинне викликати клінічну підозру щодо міокардиту при відповідних вихідних об'єктивних клінічних даних.
Стрес-індукована кардіоміопатія (синдром Такоцубо)
КМП Такоцубо була вперше описана близько 20 років тому в Японії як транзиторна стрес-індукована дисфункція верхівкового відділу ЛШ [38]. Ця КМП відповідає приблизно за 2% всіх пацієнтів, госпіталізованих з підозрою на ГКС. Типово це жінки (>90%) в перименопаузі, хоча цей стан може траплятися в усіх групах пацієнтів [39]. КМП Такоцубо є станом мімікрії ГКС, тому що типово пацієнти поступають з болем в грудній клітці та характерними змінами на ЕКГ, але без ангіографічних ознак ГКС [40]. Вона характеризується зворотною дисфункцією ЛШ з регіональними порушеннями скоротливості, що не повністю відповідає типовим зонам (басейнам) коронарного кровопостачання. Типовий приклад КМП Такоцубо виглядає як апікальна акінезія ЛШ (Рис. 1), що робить ЕхоКГ ідеальним діагностичним інструментом у багатьох з таких пацієнтів. Втім, коронароангіографія (КАГ) при підозрі на КМП Такоцубо є обов'язковою для виключення коронарної оклюзії або значущих коронарних стенозів. Сьогодні відомо, що КМП Такоцубо має більш різноманітні клінічні прояви, ніж вважалося раніше, із залученням в зони акінезії серединних та базальних сегментів ЛШ або ПШ з або без залучення інших сегментів ЛШ. Залучення обох шлуночків описану приблизно у чверті пацієнтів [41], а залучення серединних сегментів ЛШ недавно було описано в 40% всіх випадків [42]. Для підтвердження діагнозу КМП Такоцубо необхідне повне відновлення функції ЛШ протягом лікування (термін може бути варіабельним: від декількох днів до багатьох тижнів) [43].

Рис. 1. ЕКГ, ЕхоКГ та вентрикулографія у пацієнта з гострим болем в грудях, розповсюдженим порушенням скоротливості верхівки ЛШ (стрілка) та незначним підвищенням рівня тропоніну. У пацієнта діагностовано кардіоміопатію Такоцубо після виключення значущого ураження коронарних артерій підчас КАГ.
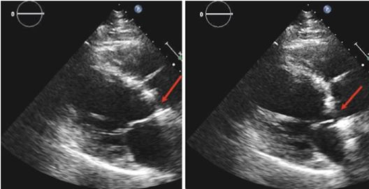
Розшарування аорти та інші гострі аортальні синдроми
Розшарування аорти (РА) є життєво небезпечним ургентним станом, при якому ранній діагноз та невідкладне лікування значно впливає на прогноз [44, 45]. Візуалізація відриву інтими в просвіті аорти, що відсепаровує справжнє та несправжнє русло є патогномонічним. Несправжнє русло можна ідентивікувати по систолічній компресії, наявності феномену спонтанного контрастування (ФСК), реверсивному систолічному потогу, відтермінованості або відсутності потоку та тромбоутворенню (Рис. 2). Специфічні критерії для ідентифікації справжнього русла включають систолічну експансію та діастолічний колапс просвіту, відсутність або низька інтенсивність ФСК за наявності, систолічний потік, спрямований від просвіту та систолічний антероградний потік. Ідентифікація оригінального місця відриву інтими та залучення висхідної аорти є принциповим для відокремлення розшарування аорти за типами А та В, оскільки їх ведення та тактика принципово відрізняються.

Рис. 2. ЧСЕхоКГ у пацієнта з гострим розшаруванням аорти тип В. СР – справжнє русло; НР – несправжнє русло; Г – інтенсивне спонтанне контрастування + тромб.
Нормальні дані ТТЕхоКГ не можуть виключити РА, але підчас ТТЕхоКГ потенційно можна, хоча і не завжди, візуалізувати відрив інтими в корені аорти та дуги аорти, а крім того спостерігати можливі ускладнення (гостру аортальну регургітацію, гострий гідроперикард або порушення сегментарної скоротливості, можливі при залученні в розшарування війстя коронарної артерії). Артефакти реферберації – найчастіші артефакти, що призводять до хибних діагнозів в ЕхоКГ, тому оператор має мати досвід щодо розрізнення таких артефактів. ЧСЕхоКГ є більш чутливим методом візуалізації [46, 47], хоча перед проведенням ТТЕхоКГ все ж таки рекумендається швидка фокусна ТТЕхоКГ з метою скринінгу можливої тампонади серця та виявлення порушень сегментарної скоротливості. Тампонада серця може бути проявом РА тип А, та в такому випадку, якщо підчас ТТЕхоКГ діагностовано як РА, так і гідроперикард, ЧСЕхоКГ не є необхідною та може бути потенціально небезпечною, тому що може спровокувати декомпенсацію гемодинаміки. Але ЧСЕхоКГ є бажаною інтраопераційно для документації можливого розповсюдження та пролонгації РА.
На відміну від МСКТ або МРТ серця, ЧСЕхоКГ не здатна візуалізувати більшість сегментів дистальної частини висхідної дуги поблизу проксимальної частини дуги аорти та більшість відділів черевної аорти. Втім, РА, обмежене суворо цим сегментом висхідної аорти є надзвичайно нетиповим. Навпаки, відрив інтими розповсюджуюється в дугу аорти з більш проксимальних сегментів, що зазвичай можна легко діагностувати підчас ЧСЕхоКГ. У пацієнтів з гострим розшаруванням черевної аорти (напр., біль в животі) в діагностиці перевагу мають МСКТ або МРТ.
Інші причини гострого аортального синдрому включають інтрамуральну гематому та атеросклеротичні виразки, що пенетрують [48] (Рис. 3).

Рис. 3. Важке атеросклеротичне ураження нисхідного відділу грудної аорти у літнього пацієнта. Відмітьте збільшення товщини стінок аорти, протрузії атеросклеротичної бляшки в просвіт аорти та звивистість її контурів. Біла стрілка вказує на присутність пенетруючої виразки стінки аорти.
При цих станах ТТЕхоКГ має обмежену цінність, та якщо ЕхоКГ є єдиним доступним методом візуалізації та діагностики, то для виявлення цих станів рекомендованим є ЧСЕхоКГ, якщо не є небезпечною для пацієнта. Інтрамуральна гематома вважається попередником класичного РА (Клас 2 РА), маючи походження з розриву vasa vasorum в серединному шарі стінки аорти. Цей стан може прогнесувати до гострого РА або регресувати у деяких пацієнтів. Підчас ЕхоКГ інтрамуральна гематома характеризується серповидним або циркулярним потовщенням аортальної стінки >5 мм. Іноді може спостерігатися ехо-прозорі ділянки, що свідчать про кровотечу або розрідження гематоми. Якщо діагноз лишається дискутабельним, можуть бути необхідними інші методи візуалізації, напр., МРТ магістральних судин.
Атеросклеротична виразка, що пенетрує (Клас 3 – 4 РА), найчастіше спостерігається в нисхідній аорті. В таких випадках методами візуалізації вибору є МСКТ або МРТ. Тупа травма грудної клітки обговорюється нижче в розділі травм серця та аорти.
Ключові рекомендації щодо ЕхоКГ у пацієнтів з гострим болем в грудній клітці
(1) Оцінка гострого болю в грудях у пацієнтів з підозрою на ішемію міокарду при неінформативних ЕКГ та біомаркерах некрозу міокарда, коли підчас болю можна виконати ЕхоКГ спокою;
(2) Оцінка гострого болю в грудях у пацієнтів з наявною органічною кардіальною патологією в анамнезі (клапанні вади, патологія перикарду, первинне ураження міокарду);
(3) Оцінка всіх пацієнтів з болями в грудях та нестабільною гемодинамікою, що не піддається простим лікувальним заходам;
(4) Оцінка всіх пацієнтів з болями в грудях та підозрою на гострий аортальний синдром, міокардит, перикардит або тромбоемболію малого кола кровообігу.
(1) Оцінка болю в грудях у пацієнтів з очевидно некардіальною етіологією болю;
(2) Оцінка триваючого болю в грудях у пацієнтів з підтвердженими діагнозами ішемії / інфаркту.
NB: ЧСЕхоКГ може бути показаною за неінформативності ТТЕхоКГ.
Перикардит
Гострий перикардит є найчастішою патологією перикарду. Це може бути першим проявом підлеглої кардіальної або екстракардіальної патології, або ізольованим захворюванням власно перикарду. У пацієнтів з гострим болем в грудній клітці повинна відбуватися диференційна діагностика перикардиту та ГКС. Невеликий випіт в порожнині перикарду є частим ускладненням ГІМ (особливо у пацієнтів без реперфузії відповідальної коронарної артерії), або часто з'являється в підгострому періоді ГІМ (синдром Дресслера). Діагноз переважно базується на даних анамнезу (біль змінюється за інтенсивністю на вдиху та залежно від положення пацієнта в просторі), об’єктивного огляду (шум тертя перикарду – аускультується тільки в третини пацієнтів), ЕКГ (дифузна увігнута елевація сегменту ST та депресія сегменту PR) та знахідок підчас ТТЕхоКГ. Втім, нормальні результати ТТЕхоКГ не виключають діагнозу гострого перикардиту. Гідроперикард знаходять тільки в 60% випадків [49]. Може бути наявним потовщення листків перикарду (>3 мм), та хоча ЕхоКГ вважається недостатньо точною методикою для оцінки цього, ЧСЕхоКГ є кращою за ТТЕхоКГ (Рис. 4).
При виявленні підвищених рівнів тропонину (до 50% пацієнтів з гострим перикардитом) [50], доцільно використовувати в діагнозі термін периміокардиту. В цих випадках підвищення сироваткового тропонину відбиває залучення міокарду в запальний процес, що може асоціюватися з порушенням регіональної скоротливості шлуночків.
Хронічний перикардит пов'язаний з присутністю тривалого персистуючого запалення з можливим фіброзом та кальцинозом, що може призводити до перикардіальної конструкції та бути причиною прогресуючої важкої задишки. В цих випадках задишка прогресує поступово та рідко є причиною госпіталізації хворого у ВРІТ. Всі методики ЕхоКГ є дуже корисними для діагностики конструктивного перикардиту (КП) та його диференційної діагностики з рестриктивною кардіоміопатією (РКМП).

Рис. 4. ЕхоКГ пацієнта, що був госпіталізований з гострим перикардитом. Відмітьте підвищену товщину перикардіального шару ближче до задньо-бокової та передньо-бокової стінок ЛШ та відсутність випоту у даного пацієнта з гострим перикардитом (стрілки).
Ключові рекомендації щодо ЕхоКГ у пацієнтів із підозрою на патологію перикарду
ЕхоКГ рекомендована:
(1) Пацієнтам з підозрою на патологію перикарду, включаючи випіт, констрикцію або ексудативно-констриктивний процес;
(2) При шумі тертя перикарду, що розвинувся на фоні ГІМ, та супроводжується такими симптомам як тривалий біль, гіпотензія та нудота;
(3) Пацієнтам із підозрою на кровотечу в порожнину перикарду (напр., травма, перфорація);
(4) Пацієнтам підчас перикардіоцентезу для направлення та спостереження за ходом процедури.
Гостра задишка
Серцева недостатність
Гостра задишка є однією з найчастіших ситуацій у ВРІТ. Серцева недостатність (СН) є найчастішою кардіальною причиною гострої задишки [51], що може бути пов’язаною з або вперше виниклою СН, або декомпенсацією вже існуючої СН [52]. Пацієнт може бути госпіталізованим із широким спектром нозологій-причин, що можуть включати гострий набряк легенів, кардіогенний шок, ізольовану дисфункцію ПШ або СН, як ускладнення ГКС. Оцінка причин гострої задишки починається зі збору повного та детального анамнезу та об’єктивного огляду. Втім, чіткий діагноз СН може ускладнюватися низькою специфічністю або чутливістю ознак та симптомів [53]. Крім того, СН сама по собі є не стільки клінічним діагнозом per se, а синдромом, що вимагає додаткових досліджень для визначення етіологічної причини. ЕхоКГ є найважливішим інструментом для оцінки функціональних та структурних змін, що викликають або асоційовані з розвитком СН. ТТЕхоКГ повинно бути виконано невідкладно одразу після виникнення підозри на СН у будь-якого пацієнта з виникненням або погіршенням задишки [19]. ЕхоКГ звичайно дозволяє швидко визначити причинну етіологію та провести диференційну діагностику між СН внаслідок систолічної та ізольованої діастолічної дисфункції, що визначає особливості невідкладного лікування у гострому стані.
ЕхоКГ-ознаки систолічної СН (Рис. 5) перераховані в Таб. 1. Важливо пам’ятати, що у хворих у критичних станах, що отримують позитивні інотропні препарати та/або на механічній підтримці циркуляції показники підчас ЕхоКГ можуть бути «нормальними» відповідно доказових даних у хворих без невідкладних станів, що не говорить про відсутність відповідної патології та СН. Тому кожен параметр має інтерпретуватися виходячи з конкретного клінічного контексту, включаючи рівень серцево-легеневої підтримки. У пацієнтів з задишкою та білатеральними легеневими інфільтратами за даними оглядової рентгенографії грудної клітки (ОГК), ЕхоКГ може використовуватися для диференційної діагностики між підвищеним та низьким тиском в лівому передсерді (ЛП) за даними комбінації переліку рекомендованих показників (Рис. 6).

Рис. 5. ЕхоКГ при ДКМП та зниженій систолічній функції ЛШ у пацієнта, госпіталізованого з гострою задишкою.

Рис. 6. ЕхоКГ у пацієнта із збереженою систолічною функцією ЛШ, що був госпіталізований з гострою задишкою. Пацієнту встановлено діагноз ГКМП. Співвідношення Е/е’свідчить про підвищений тиск наповнення ЛШ, підтверджуючи діагноз діастолічної СН.
У пацієнтів з графікою порушення релаксації ЛШ (Е/А <1) та піковою швидкістю хвилі Е <50 см/с тиск наповнення ЛШ (ТНЛШ, він же тиск в ЛП) звичайно нормальний. При рестриктивному наповненні (E/A ≥2, час сповільнення DT хвилі E <150 мс) середній тиск в ЛП (ТЛП) звичайно підвищений. Використання додаткових допплерівських параметрів рекомендоване у пацієнтів із співвідношенням E/A = 1 – 2 для диференційної діагностики пацієнтів з підвищеним ТНЛШ [54]. У пацієнтів на ШВЛ рекомендоване використання комбінації допплерівських параметрів (трансмітральний діастолічний потік, тканинна допплерографія (ТД), допплерографія потоку в легеневих венах та кольорове допплерівське картування (КДК) в М-режимі для визначення швидкості розповсюдження ранньо-діастолічного потоку Vp) [55].
Визначення СН із збереженою ФВ ЛШ (СНізЗбФВ), що звичайно відповідає діастолічний СН є більш складним. СНізЗбФВ звичайно спостерігається у приблизно 50% всіх пацієнтів з СН [56] (Рис. 7) та характеризується наявністю ознак та симптомів СН та переліком ЕхоКГ параметрів, наведених в Таб. 2 [52].

Рис. 7. Діагностика СН із збереженою ФВ ЛШ у пацієнта із задишкою. Відмітьте збережену ФВ ЛШ (≥50%, А), дилатацію ЛП (Б), рестриктивну графіку діастолічного наповнення ЛШ (В), високе співвідношення Е/е’ (Г) та підвищений систолічний тиск в ЛА (Д). м2
Традиційні ЕхоКГ параметри, отримані з даних профілю трансмітрального діастолічного потоку звичайно погано корелюють з гемодинамікою у пацієнтів із збереженою ФВ ЛШ [57, 58]. В умовах невідкладного стану та перед початком лікування діастолічна дисфункція у пацієнта з задишкою полягає майже винятково у підвищенні ТНЛШ. Більш детальна ЕхоКГ диференціація підвищеного ТНЛШ включає підвищення значення співвідношення пікової швидкості трансмітральної хвилі А до швидкості раннього діастолічного руху мітрального кільця е’ за даними ТД (Е/е’ ≥13) [54]. Узагальнений алгоритм практичного визначення діастолічної функції ЛШ наведений на Рис. 8. Наявність ≥2 патологічних показників збільшує діагностичну певність вимірів. Слід відзначити, що співвідношення пікової швидкості хвилі Е до швидкості раннього діастолічного потоку в ЛШ Vp за даними КДК в М-режимі в даних клінічних умовах є менш точним.

Рис. 8. Практичний підхід до визначення стадії діастолічної дисфункції ЛШ (адаптовано за Рекомендаціями з оцінки діастолічної функції шлуночків за даними ЕхоКГ EACVI/ASE [54]).
Переваги та обмеження використання різних допплерівських параметрів при оцінці діастолічної функції ЛШ детально викладено у відповідних рекомендаціях [54].
Фібриляція передсердь та синусова тахікардія є станами, що часто зустрічаються у пацієнтів з гострою СН, що утруднюють аналіз діастолічної функції ЛШ. Загалом, коли ФВ ЛШ є зниженою, одним з найбільш точних маркерів підвищеного ТНЛШ є час сповільнення хвилі Е DT <150 мс [59]. Як при зниженій, так і збереженій ФВ ЛШ для визначення підвищеного ТНЛШ може використовуватися співвідношення E/e′ (латеральне мітральне кільце) >10–11 за умов: 1) підвищений індекс об’єму ЛП (≥ 34 мл/м2), або 2) Ar – A ≥30 мс (Ar – тривалість зворотного потоку в ЛВ в систолу передсердь; А – тривалість трансмітральної хвилі А), або 3) Δ співвідношення Е/А підчас проби Вальсальви >0,5.
При гострій систолічній або діастолічній СН у ліжка хворого також ЕхоКГ здатне виявити інтерстиційний набряк легенів у вигляді аномально великої кількості артефактів реверберації за типом «хвіст комети» в В-режимі. Ці реверберації утворюються від набряклих міждолевих та між сегментарних перетинок, можуть з'являтися дуже швидко у відповідь на різке підвищення венозного тиску в легенях, та отримуються після встановлення УЗ-датчика в проекції легенів [15, 20] (Рис. 9). Існує декілька протоколів УЗД легенів для виявлення інтерстиційного набряку, які рекомендуються для вивчення лікарям-реаніматологам та кардіологам ВРІТ. Слід зауважити, що УЗД легенів та ознаки інтерстеційного набряку є допоміжними засобами візуалізації з виявленням неспецифічної ознаки, яка не є етіологічною причиною гострої СН, а її наслідком.

Рис. 9. Трансторакальне УЗД легенів демонструє множинні В-лінії (УЗ легеневі «комети», білі стрілки) у пацієнта з гострим набряком легенів.
Кардіоміопатії
Головна мета ЕхоКГ у пацієнтів з гострим станом та відомою кардіоміопатією (КМП) полягає в діагностиці, динамічному спостереженні та визначенні лікувальної тактики при гострій СН. Всі КМП можуть призводити до гострих епізодів СН, як при зниженій ФВ ЛШ, так і при збереженній ФВ ЛШ, коли симптоматика гострої СН та прогноз визначаються переважно підвищеним ТНЛШ [60]. В цих випадках допплерівська ЕхоКГ представляє ключову методику візуалізації внаслідок унікальної здатності ідентифікувати підвищення ТНЛШ та етіологічні механізми гострого погіршення СН. У критично хворих пацієнтів ФВ ЛШ не є дуже надійною для оцінки функції ЛШ, зважаючи на те, що нормальні її значення для пацієнтів на респіраторній підтримці досі не визначені. Але окрім ФВ ЛШ ЕхоКГ має інші потужні інструменти оцінки функції ЛШ. Так, застосування двовимірної СТЕ забезпечує сьогодні досить корисною інформацією у пацієнтів з гострою СН на фоні існуючої КМП [61], особливо при збереженій ФВ ЛШ. В той час, як у пацієнтів із зниженою систолічною функцією всі компоненти деформації (стрійну) та скручування ЛШ є важко зниженими, при збереженій систолічній функції ЛШ (напр., при ранніх стадіях РКМП або при гіпертрофічній КМП (ГКМП)) радіальний стрейн звичайно відносно знижений, а повздовжній стрейн значно знижений, подібно до хворих із зниженою ФВ ЛШ, але циркулярний стрейн є збереженим, в той час як скручування ЛШ виявляється нормальним або надлишковим, діючи як балансуючий механізм підтримки ФВ ЛШ в нормальних межах [62]. Глобальний повздовжній стрейн (ГПС) субендокардіального шару міокарда слід оцінювати у всіх пацієнтів з СН, особливо у випадках збереженої ФВ ЛШ. Значення < –16% вказує на легке зниження ГПС, а значення <–10% відповідає важкому зниженню ГПС. Слід відмітити, що ці кількісні дані досі потребують валідації в умовах гострих невідкладних серцево-судинних станів та не можуть застосовуватися у пацієнтів з систолічною СН, що отримують позитивні інотропні агенти або механічну циркуляторну підтримку. Оцінка ГПС є легко виконаною та відтворюваною в даних клінічних умовах, в той час як циркулярний та радіальний стрейн, а також скручування ЛШ є менш відтворюваними [61].
При певних КМП спостерігається ще й зниження регіонального повздовжнього стрійну. Так, при інфільтративних КМП, таких як амілоїдоз серця або КМП Льоффлера (еозинофільна інфільтрація, фіброеластоз ендокарду), спостерігається виражене зниження регіонального повздовжнього стрійну саме базальних сегментів ЛШ (Рис. 10), в той час як для ГКМП більш характерне більш генералізоване зниження ГПС залучених сегментів (Рис. 11).

Рис. 10. Приклад оцінки регіональної повздовжньої деформації (стрійну) в усіх апікальних позиціях з презентацією у вигляді «мішені» у пацієнта з амілоїдозом серця. При збереженій нормальній ФВ ЛШ (56%) зниження регіонального повздовжнього стрійну здебільше залучає базальні сегменти ЛШ. В лівому секторі кожного зображення демонструється кольорове відображення пікових значень регіонального стрійну (в нормі негативні), що відносяться до шести міокардіальних зон, наведених на рисунку. В правому верхньому секторі кожної дослідженої позиції представлені графіки систолічного стрійну (переривчаста біла крива відповідає глобальному середньому повздовжньому стрейну). В правому нижньому секторі відображене якісне кольорове картування в М-режимі, що відповідає шести послідовно дослідженим сегментам міокарду ЛШ: зліва знизу базальні праві сегменти ЛШ (червоний колір); в центрі верхівка ЛШ, зверху базальні ліві сегменти ЛШ (жовтий колір). Червоний та рожевий кольори відповідають систолічній деформації.

Рис. 11. Регіональний повздовжній стрейн (демонстрація у вигляді «мішені» у пацієнта з ГКМП. При нормальній ФВ ЛШ (57%) демонструється зниження регіонального повздовжнього стрійну, що залучає сегменти стінки ЛШ більш гомогенно порівняно з попереднім прикладом пацієнта з амілоїдозом.
У пацієнтів з ГКМП рекомендований комплексний підхід до оцінки ТНЛШ з урахуванням всіх наявних ЕхоКГ даних, в тому числі, визначення тисків в ЛА, профіль діастолічного наповнення ЛШ, Е/e′, тощо, та індивідуальний підхід в кожному окремому випадку. У пацієнтів з ГКМП з гострою задишкою/СН завжди треба виключати різке прогресування ступеня обструкції виносного тракту ЛШ (ВТЛШ). Для цього використовується постійно-хвильовий допплер (ПХД) з визначенням пікової швидкості та градієнту тиску в місці обструкції, які дуже добре корелюють з такими даними, отриманими підчас катетеризації серця. КДК може використовуватися для визначення рівня обструкції по місцю появлення «мозаїки» (ВТЛШ або серединний відділ порожнини ЛШ). У пацієнтів із значною гіпертрофією ЛШ та потенційною обструкцією ВТЛШ обструкція може загостритися при призначенні позитивних інотропних агентів або в умовах гіповолемії. Це може бути особливо важливим в контексті супутньої правошлуночкової СН (СН по великому колу кровообігу), коли знижене переднавантаження ЛШ буде загострювати ризик динамічної обструкції ЛШ. В даному випадку ЕхоКГ є надважливим для діагностики та динамічного спостереження відповіді на лікувальні заходи.
ЕхоКГ виявлення внутрішньосерцевих тромбів у пацієнтів з ідіопатичною дилатаційною КМП (ДКМП) та некомпактному ЛШ є частою знахідкою при госпіталізації таких пацієнтів з ішемічним інсультом. ФСК (симптом «диму») вважається передтромботичним феноменом, що асоціюється с підвищеним ризиком тромбоемболічних подій [62]. Зважаючи на та, що тромби ЛШ формуються головним чином в апікальних відділах або в зоні акінезу, ТТЕхоКГ має кращу діагностичну точність (чутливість 90%, специфічність 85%) порівняно з ЧСЕхоКГ. Точність ТТЕхоКГ зростає при використанні КДК та/або ехо-контрастування [14]. У пацієнтів з тромбозом ЛШ (Рис. 12) рекомендовано оцінювати декілька ЕхоКГ ознак, включаючи форму або контури тромбів (тромб може бути пристінковий або такий, що видається в порожнину ЛШ), рухомість (тромб фіксований або флотуючий в певній варіабельній мірі), наявність аневризми ЛШ в зоні формування тромбу – локалізованої зони акінезії або дискінезії, що деформує порожнину ЛШ як в систолу, так і в діастолу [64]. Більш високий ризик емболізації доказово спостерігається у пацієнтів з більшими розмірами тромбу та/або якщо тромб є мобільним та видається в порожнину ЛШ, особливо у літніх пацієнтів. У пацієнтів з КМП з фібриляцією (ФП) та/або тріпотінням (ТП) передсердь тромбоз найчастіше розвивається безпосередньо в порожнині ЛП або його вушці (ВЛП). ЧСЕхоКГ є «золотим стандартом» діагностики тромбозу ЛП та ВЛП з високою чутливістю та специфічність. Підчас ЧСЕхоКГ тромби ВЛП виглядають як ехогенні маси, що чітко відмежовані від ендокарду, що візуалізуються більше ніж в одній проекції. Ії слід диференціювати з гребінчастими м'язами з використанням множинних проекцій. При цьому корисне використання 3D-ЧСЕхоКГ або біпланових зображень, особливо при оцінці анатомічно складних ВЛП. У пацієнтів з механічною циркуляторною підтримкою також завжди повинен проводитися пошук/виключення тромбів, особливо в зоні катетерів та клапанів (включаючи протези), зважаючи на відсутність адекватного центрального кровотоку та викиду. Це спеціалізований різновид ЕхоКГ, що потребує експертної оцінки оператора з відповідним досвідом.

Рис. 12. 3D-ТТЕхоКГ демонструє тромб в області верхівки ЛШ у пацієнта з недавнім передньо-перегородково-верхівковим ГІМ з елевацією сегменту ST.
Ключові аспекти щодо невідкладної ЕхоКГ оцінки у пацієнтів із підозрою на кардіоміопатії
-
Розрахунок ФВ ЛШ в В-режимі та оцінка додаткових ознак дисфункції ЛШ (індекс сферичності, оцінка систолічних швидкостей мітрального кільця, індекс ударного об'єму, тощо).
-
Врахування геометрії ЛШ та можливих регіональних розбіжностей товщини міокардіальної стінки.
-
Оцінка тиску наповнення ЛШ (співвідношення E/e′, різниця тривалостей хвиль AR – A, індекси об'ємів ЛШ, систолічний тиск в легеневій артерії).
-
Урахування зниження глобального повздовжнього стрейну, навіть при збереженій ФВ ЛШ.
-
Активна діагностика / виключення обструкції ВТЛШ у пацієнтів з ГКМП.
-
Прийняття до уваги рівню та ступеня кардіореспіраторної підтримки.
Емболії гілок легеневої артерії
Діагноз гострої емболії гілок легеневої артерії (ТЕЛА) на етапі ВРІТ може бути складним, тому що як симптоми (задишка та/або біль в грудній клітці) та об'єктивні симптоми є неспецифічними [64]. ТТЕхоКГ може допомогти встановити діагноз негайно та ідентифікувати пацієнтів високого ризику. Загалом чутливість ТТЕхоКГ при діагностиці ТЕЛА складає 50–60% при специфічності близько 80–90%. В деяких ситуаціях у пацієнтів в крітичному стані ЧСЕхоКГ може покращити чутливість діагностики [65]. Слід відмітити, що ТТЕхоКГ вигладає нормальною у близько 50% пацієнтів з гострою ТЕЛА, але, втім, може надати певні прямі та/або непрямі ознаки цього діагнозу. Візуалізація великого мобільного змієподібного тромбу в порожнинах правих відділів серця або легеневій артерії (ЛА) є досить рідкою, але є патогномонічною ознакою ТЕЛА [66]. Взагалі, хоча для діагнозу ТЕЛА вирішальними є інші діагностичні методи (МСКТ, D-діметр, V/Q-сканування), ЕхоКГ лишається цінною допоміжною візуалізаційною методикою. У пацієнта з катастрофічно нестабільною гемодинамікою ТТЕхоКГ може бути єдиним доступним невідкладним засобом візуалізації [67].
Головними непрямими ознаками ТЕЛА є наслідки різкого підвищення тисків в ЛА та правих відділах серця, хоча вони є неспецифічними, та включають: дилатацію правих відділів серця (напр., патологічне співвідношення поперечного розміру або площі ПШ до КДР або площі ЛШ та дилатація нижньої порожнистої вени (НПВ)), гіпокінез ПШ та аномальний рух МШП. У пацієнта з відповідним анамнезом та об'єктивною симптоматикою співвідношення КДР ПШ до КДР ЛШ >0,6 та співвідношення кінцево-діастолічних площ ПШ та ЛШ and a ratio of end-diastolic RV to LV >1,0 чітко асоціюється з масивною ТЕЛА [66] (Рис. 13). При ТЕЛА гіпокінезія ПШ не обов'язково буває глобальною, та може бути обмеженою серединними сегментами вільної стінки ПШ при нормальному або гіперкінетичному скороченні його верхівки (симптом МакКоннела) [70]. Хоча раніше цей симптом вважався специфічним для діагнозу ТЕЛА, сьогодні це положення є під питанням, зважаючи на те, що може спостерігатися і при інших станах.
При встановленні діагнозу ТЕЛА ЕхоКГ також може використовуватися для стратифікації пацієнтів високого та помірного ризику (ознаки дисфункції ПШ), та високого ризику (немає ознак дисфункції ПШ). У пацієнтів із підозрою на високих ризик ТЕЛА з шоком або гіпотензією відсутність ЕхоКГ ознак перевантаження ПШ тиском або/та його дисфункції звичайно виключає масивну ТЕЛА як причину нестабільної гемодинаміки.
Вторинна трикуспідальна регургітація (ТР) у пацієнтів з помірним та високим ризиком ТЕЛА є досить частою. Її наявність дозволяє оцінювати систолічний тиск в ПШ та, відповідно систолічний артеріальний тиск (САТ) в ЛА (за відсутності стенозу клапану ЛА). САТЛА може бути виміряний після оцінки пікового градієнту тиску ТР за спрощеним рівнянням Бернуллі. Але слід пам'ятати, що при дуже важкій ТР градієнт тиску може падати, що призведе до недооцінки важкості легеневої гіпертензії (ЛГ). Тиск в правому передсерді (ПП) оцінюється за об'єктивним оглядом яремних вен та за діаметром НПВ та її респіраторними коливаннями за даними ЕхоКГ, або шляхом прямого виміру при центральній венозній катетеризації в умовах ВРІТ. ПШ здатен гостро (не хронічно) генерувати САТЛА не вище 60 мм рт.ст., тому в гострих станах підчас гострої ТЕЛА звичайно очікується реєстрація пікової швидкості ТР не вище 2,5 – 3,5 м/с, що відповідає САТЛА 40 – 50 мм рт.ст. І навпаки, САТЛА >60 мм рт.ст. скоріше говорить про хронічний процес, пов'язаний з персистуючими епізодами ТЕЛА або про хронічну легеневу паренхиматозну патологію та/або ТЕЛА на фоні вже існуючої хронічної легеневої патології. Інші методики, такі як ТД та СТЕ можуть додати цінну допоміжну інформацію щодо оцінки функції ПШ, втім в даному випадку ці дані ще лишаються експериментальними, особливо в умовах невідкладних станів, яким досі бракує доказових даних.

Рис. 13. ЕхоКГ пацієнта, госпіталізованого з повторними епізодами ТЕЛА. ПШ збільшений у розмірах порівняно з ЛШ (співвідношення КДР ПШ / ЛШ >0,6. Піковий градієнт ТР значно підвищений, що вказує на важку легеневу гіпертензію. Крім того, у пацієнта відмічалось суттєве зниження систолічної екскурсії трикуспідального кільця (TAPSE) до 8 мм порівняно з попереднім виміром за 1 місяць до госпіталізації (11 мм). Базуючись на цих даних та на зниженні систолічної функції ПШ за даними прогресуючого зниження TAPSE, виникла підозра на персистуючу ТЕЛА.
Ключові рекомендації щодо ЕхоКГ у пацієнтів із підозрою або при доведеній емболії малого кола кровообігу.
(1) Підозра на високий ризик ТЕЛА з наявністю шоку або гіпотензії без можливості невідкладної КТ (#);
(2) Показана для диференційної діагностики кардіальної та некардіальної задишки у пацієнтів з суперечливими клінічними та лабораторними даними;
(3) Показана для обрання лікувальної тактики у пацієнтів з ТЕЛА помірної групи ризику.
(1) Пошук легеневих емболів та тромбів, наявність яких підозрюється в ПП або ПШ, або головних гілках ЛА;
(2) Для стратифікації ризику у пацієнтів без високого ризику ТЕЛА.
-
ЕхоКГ не є рекомендованою:
(1) Для вибору діагностичної стратегії у гемодинамічно стабільних пацієнтів з нормотензією при підозрі на ТЕЛА.
#ЧСЕхоКГ може бути показаним, якщо ТТЕхоКГ є неінформативним, але при седації хворих може настати катастрофічна декомпенсація.
Пневмоторакс
Пневмоторакс (ПТ) є потенційно життєвонебезпечним станом у пацієнтів, госпіталізованих в ВРІТ з приводу гострої задишкиз або без больового синдрому, у пацієнтів після центральної катетеризації та/або у пацієнтів з легеневою травмою на ШВЛ з позитивним тиском. За останні близько десяти років використання УЗД, як методики діагностики ПТ швидко еволюціонувало [15, 71]. В нормальній легені шва шари перикарду щільно прилягають один до одного, та УЗД дозволяє виявити рух парієтального листка відносно вісцеральної плеври синхронно з диханням (легенево-плевральне ковзання). Коли повітря відсепаровує два шари один від одного, то парієтальна плевра продовжує візуалізуватися, в той час ковзання легені – вже ні. Відсутність ковзання легені є чутливою ознакою ПТ, але не обов’язково підтверджує цей діагноз, тому що може спостерігатися при ряді інших станів (масивний ателектаз, інтубація головного бронху, плевральні спайки).
Додаткові УЗ-ознаки ПТ, що підвищують чутливість УЗ-верифікації та потрібні для встановлення діагнозу, включають наступні: 1) відстутність артефактів «хвіст комети» в В-режимі; 2) відсутність «легеневої пульсації», та 3) наявність «легеневої точки». Для візуалізації «хвостів комет» необхідний контакт парієтальної та вісцеральної плеври, тому виявлення цих реверберацій (навіть однієї) виключає ПТ в зоні дослідження [72]. «Легенева пульсація» визначається як ритмічний рух вісцеральної плеври та підлеглої легеневої паренхіми відносно парієтальної плеври синхронно до серцевого ритму. ПТ характеризується відсутністю як легеневого ковзання, так і «легеневої пульсації», оскільки інтраплевральне повітря не дозволяє передачу будь-яких рухів на парієтальну плевру. Таким чином, наявність «легеневої пульсації» виключає діагноз ПТ в зоні дослідження [15]. «Легенева точка» є точкою на грудній стінці там, де нормальна плевра контактує з краєм ПТ. При використанні В-режиму «легенева точка» визначається як межа між нормальним легеневим ковзанням та появою ознак ПТ (відсутність ковзання та реверберацій). «Легенева точка» представляє собою фізичну межу ПТ, та є найбільш його специфічною ознакою [73]. В умовах ВРІТ комбінація легеневого ковзання та «легеневої пульсації» у поєднанні з артефактами реверберацій дозволяє швидке та безпечне виключення ПТ в зоні дослідження без необхідності пошуку «легеневої точки».
Серцево-легеневі взаємодії та вентиляція
У більшості пацієнтів, що перебувають на ШВЛ, виникають проблеми з переходом від ШВЛ до спонтанного дихання різного ступеня залежно від інтенсивності терапії, що проводилася. Хоча альвеолярний набряк є найчастішою з цитованих кардіальних причин проблем переходу до спонтанного дихання, додаткові кардіальні фактори також доповнюють спектр причин цієї проблеми. Визначення питомої ваги кардіальних проблем може бути утрудненим, а ЕхоКГ може бути вирішальною методикою у вирішенні цієї проблеми. Це вимагає розуміння ефектів спонтанної та штучної вентиляції на взаємозв’язок тисків та об’ємів в камерах серця та фізіологічних змін при переведенні пацієнта з ШВЛ на спонтанне дихання.
СВ переважно визначається різницею тиску між середнім системним тиском та тиском в ПП. Таким чином підчас нормального вдиху, по мірі зростання цієї різниці тисків відповідно зростає венозне повернення до серця. Зростання об’ємів правого серця призводить до відповідного зниження потоків в лівому серці за рахунок міжшлуночкової взаємодії. Підчас ШВЛ з позитивним тиском ці зміни робляться зворотними, а застосування постійного позитивного тиску (напр., позитивний кіцево-експіраторний тиск) призводить додатково ще й до падіння венозного повернення протягом серцевого циклу. Крім того, підвищення транспульмонарного тиску збільшує постнавантаження ПШ, призводячи до зниження викиду з ПШ. Відповідне зростання внутрігрудного тиску зменшує постнавантаження ЛШ та збільшує його переднавантаження, що в свою чергу призводить до зростання викиду з ПШ. Ці циклічні зміни добре демонструються підчас допплерівської ЕхоКГ, формуючи базис діагностики ознак тампонади, надмірних тисків ШВЛ та предиктивних даних щодо відповіді об’ємів серця на ШВЛ.
Таким чином оцінка причин проблеми при переведенні пацієнта з ШВЛ на спонтанне дихання в першу чергу має включати демонстрацію або виключення наявності значного підвищення ТЛП (в спокої або при відключенні від ШВЛ), по-друге демонстрацію або виключення підлеглих органічних кардіальних причин неможливості переведення на спонтанне дихання, що є потенційно зворотними. Втім, оцінка ТЛП в даній популяції пацієнтів лишається складною задачею, для якої досліджено декілька методик. Фактори, які слід враховувати, детально описані вище в розділі невідкладної ЕхоКГ при кардіоміопатіях. На сьогодні ще немає доказової референтної бази щодо всіх можливих факторів впливу на критичний стан в даній популяції пацієнтів (ЧСС, СВ, комплаєнс ЛШ, об'ємний статус та стан вентиляції) [74].
Стрес-ЕхоКГ з ДФН та її результати (фокусна ЕхоКГ підчас спроби переведення на спонтанне дихання) можуть лімітуватися тахікардією, тахіпное та станом збудження пацієнта. У критично хворих пацієнтів сьогодні рекомендована фармакологічна стрес-ЕхоКГ, що може застосовуватись навіть у пацієнтів, що отримують позитивні ізотропні агенти.
При підозрі на динамічну МН (кардіогенний шок як ускладнення ГІМ – див. нижче) для з'ясування етіології, ступеня важкості та динамічної природи регургітації можна використовувати параметри навантаження об’ємом та тиском. Також слід проводити ретельний пошук інших причин нездатності переведення пацієнта на спонтанне дихання, включаючи прогресуючу дисфункція ЛШ та/або ПШ, надмірну тахікардію або брадикардію (див. розділ аритмій серця нижче) або розвиток обструкції виносних трактів шлуночків (обструкція ВТЛШ – див. нижче), а також динамічне внітрішньосерцеве шунтування з результуючою диспропорційною гіпоксією або наявність внутрішньпульмонарних шунтів.
Загальні ключові рекомендації щодо ЕхоКГ у пацієнтів з гострою задишкою.
(1) Диференційної діагностики кардіальної та некардіальної етіології задишки у пацієнтів з суперечливими клінічними та лабораторними даними, що не дозволяють дійти певних висновків;
(2) Для оцінки розмірів та функції ЛШ у пацієнтів із підозрою на СН;
(3) Для допомоги у визначенні причини нездатності відключити пацієнта від ШВЛ.
-
ЕхоКГ не є рекомендованою:
(1) Для оцінки причини задишки у пацієнтів з очевидною некардіальною етіологією задишки.
NB: ЧСЕхоКГ є показаною при неінформативності ТТЕхоКГ.
Гемодинамічна нестабільність та шок
При лікуванні пацієнтів з гіпотензією та шоком швидке визначення етіології може врятувати життя, тому що дозволяє вчасний початок патогенетичного лікування. ЕхоКГ в цих випадках дозволяє швидку оцінку анатомії та функції серця, глобальної та регіональної скоротливості, розмір порожнин серця, наявність клапанної патології та присутність або відсутність випоту в порожнині перикарду. Сьогодні при початковій оцінці нестабільних пацієнтів перевага віддається ТТЕхоКГ. ЧСЕхоКГ є показаною коли ТТЕхоКГ є неінформативним, та якщо пацієнт на інтубації та ШВЛ. В широкому сенсі шок можна класифікувати на гіповолемічний, кардіогенний, дистрибутивний (напр., анафілактичний, септичний, нейрогенний) та обструктивний.
Гіповолемічний шок
Гіповолемічний шок викликається критичним зниженням внутрішньосудинного об'єму (напр., кровотеча, неадекватне споживання рідини, зовнішні втрати рідини). Різке зниження венозного повернення (переднавантаження) призводить до зниження діастолічного наповнення шлуночків та падіння ударного об'єму. За відсутності компенсації за рахунок підвищення ЧСС падає серцевий викид (СВ). При гіповолемії ЕхоКГ здатна швидко документувати маленький гіпердинамічний недовантажений ЛШ із зниженням кінцево-діастолічної площі ЛШ. Втім, є декілька застережень щодо використання цієї ознаки для діагностики гіповолемії та потенційної відповіді порожнини ЛШ на зміни навантаження, а методика має використовуватися тільки в контексті нормального ЛШ. При важкій гіповолемії (типово відповідь на зміну навантаження полягає у змінах серцевого викиду) НПВ повинна бути малого діаметру (<10 мм) з повним інспіраторним колапсом у пацієнтів на спонтанному диханні. У пацієнтів з гіповолемією на ШВЛ НПВ також буде малого діаметру наприкінці видиху, але з варіабельним ступенем інспіраторного колапсу (залежно від адаптації до ШВЛ) [75]. Щодо інтерпретаці кінцево-діастолічної площі ЛШ для оцінки відповіді на зміну об'єму навантаження, існує певна кількість виключення, коли цю методику не можна використовувати у гострих пацієнтів в критичних станах, особливо на фоні передіснуючої кардіальної / серцево-легеневої патології, включаючи пацієнтів на ШВЛ.
Дистрибутивний шок (шок перерозподілу), сепсис та септичні синдроми
Шок перерозподілу викликається недостатнім внутрішньосудинним об'ємом внаслідок надлишкової вазодилатації. Найчастішою етіологією є септичний шок. Він часто асоціюється з відносною гіповолемією (втратою внутрішньосудинного об'єму внаслідок пропотівання в капілярах), відносно високим серцевим викидом (окрім, можливо, передіснуючої органічної кардіальної патології) та гіперкінетичною систолічною функцією обох шлуночків. ЛШ рідко є дилатованим, окрім ситуацій з попередньої хронічною дисфункцією. У деяких пацієнтів може спостерігатися дифузна транзиторна гіпокінезія, але СВ лишається високим або нормальним [76]. В інших умовах відсутність гіпердинамічної систолічної функції ЛШ та ПШ часто підкреслює відносне порушення функції міокарду. Типовим є певний рівень ЛГ та / або підвищений легеневий судинний опір. Систолічна дисфункція ПШ може розвиватися приблизно в третини пацієнтів. Пригнічення міокардіальної функції ПШ виявляється за наявністю гіпокінезу ПШ та напівкількісно визначається як різні ступені дилатації ПШ. Септичний шок може асоціюватися з ендокардитом або інфікуванням катетеру центрального або периферичного доступу, або відноситися до інших системних причин інфекції. При сепсисі, як ускладненні пневмонії, коли розвивається дихальна недостатність, оцінка функції шлуночків повинна давати частково відповідь на запитання, чи потребує пацієнт екстракорпоральної респіраторної підтримки, зважаючи на те, що ПШ має бути здатен перенести значне додаткове об'ємне навантаження (приблизно до 4 л/хв.). При цьому потрібна детальна ретельна оцінка функції ПШ. Наявні дослідження вказують на потенційну цінність використання СТЕ для виявлення дисфункції ПШ при септичному шоці, коли традиційна ЕхоКГ є неінформативною. В цих дослідженнях було продемонстровано, що незважаючи на відсутність достовірної різниці в фракційному скороченні та ФВ ПШ між дітьми в групі контролю та з з сепсисом, були виявлені достовірні патологічні зміни циркулярного та повздовжнього стрейну та швидкості деформації, радіального зсуву та ротаційної швидкості [77].
У пацієнтів з клінічними ознаками ендокардиту та/або з високим ризиком ендокардиту повинне проводитися ЕхоКГ еспертного рівня для виключення клапанного ендокардиту, як кардіального джерела сепсису (новий аускультативний шум, тощо). Виявлення інфекції за наявності центрального або периферичного катетеру може бути утрудненим. Для пацієнтів з центральним венозним катетером типовим є тромбоутворення in situ, а в зоні електроду імплантованого штучного водія ритму (ШВР) часто спостерігаються нитки фібрину, що утруднює визначення інфекції за даними ЕхоКГ. Втім, будь-який новий септичний стан та виявлення прогресуючих в розмірі мобільних мас незважаючи на застосування антикоагулянтів може підтвердити підозру щодо ендокардиту. При підозрі на ендокардит та негативних результатах ЧСЕхоКГ у пацієнтів з постійно імплантованими пристроями показане проведення внутрішньосерцевої ЕхоКГ, однак, її використання у пацієнтів з ендокардитом у критичному стані рандомізовано не оцінювалося [78].
Обструктивний шок
Механічні фактори, що впливають на наповнення (тампонада, об'ємні утворення середостіння, компресія або тромбоз верхньої або нижньої порожнистих вен, напружений ПТ, важка астма, внутрішньосерцеві пухлини або тромби) абоспорожнення (гостра масивна ТЕЛА, аортальний стеноз, обструкція ВТЛШ) камер серця або магістральних судин, можуть викликати обструктивний шок (Рис. 14). В результаті падіння СВ у пацієнта розвивається тахікардія та симптоми тканинної гіпоперфузії, що призводить до збільшення системного судинного опору для компенсації.

Рис. 14. Об'ємне утворення (маса) середостіння у пацієнта з обструктивним шоком. Відмітьте виражену компресію ЛП округлою масою, що локалізується за ЛП, але попереду від поперечного зрізу нисхідної аорти.
Обструкція ВТЛШ
Існує субпопуляція пацієнтів, багато з яких мають анамнез артеріальної гіпертензії (АГ) та гіпертрофії ЛШ або після протезування АК, у яких падіння об'єму циркулюючої крові (ОЦК) може призвести до розвитку динамічної обструкції ВТЛШ з переднім систолічним рухом мітрального клапану та вторинною мітральною регургітацією (МР), що може призвести до прогресивного критичного падіння СВ. Катетеризація правих відділів серця (підвищення тиску заклинювання легеневих капілярів внаслідок МР та гіпердинамічний неподатливий ЛШ) може бути оманливою, що може призвести до прийняття неадекватного рішення (напр., призначення інотропних агентів замість бета-блокатора та відновлення ОЦК внутрішньовенно). Тобто це група пацієнтів, при веденні яких завжди повинен бути присутній високий ступінь настороженості, особливо, якщо не зважаючи на застосування інотропної підтримки не відбувається зростання СВ. ЕхоКГ в таких випадках є вирішальною діагностичною методикою.
Тампонада серця
Тампонада серця (ТС) розвивається внаслідок швидкого та/або гемодинамічно значущого накопичення рідини в порожнині перикарду, тиск якої починає перевищувати тиск в порожнинах серця, що призводить до значущого падіння трансмурального тиску. Внаслідок цього крітично зменшується наповнення камер серця із послідовним падінням СВ. Компенсаторна тахікардія та вазоконстрикція спочатку допомагають підтримувати нормальний СВ, втім, по досягненні критичного рівня тиску в порожнині перикарду СВ та АТ падають. Інспіраторне підвищення венозного повернення до серця збільшує об'єми ПШ, внаслідок чого відбувається лівий зсув МШП (шлуночкова взаємозалежність) із падінням наповнення ЛШ, тому ударний об'єм (УО) ЛШ падає із виникненням феномену парадоксального пульсу (pulsus paradoxus) (>10 мм рт.ст. падіння САТ на вдиху). Ці патофізіологічні зміни відповідають певним ЕхоКГ ознакам [79].
Існує декілька ЕхоКГ симптомів у В-режимі, що свідчать про гемодинамічно значущий об'єм рідини в порожнині перикарду. Хоча велика кількість рідини в перикарді частіше, ніж маленька, асоціюється із підвищенням внутрішньоперикардіального тиску, це головним чином залежить від темпів накопичення рідини. Тому у пацієнта із дуже великим хронічно накопиченим гідроперикардом можуть бути наявні тільки мінімальні порушення гемодинаміки, або вони можуть бути відсутні, в той час як у пацієнта із гемотампонадою внаслідок, напр., перфорації стінки ПШ підчас встановлення ШВР, кардіогенний шок може розвинутись дуже швидко вже внаслідок різкого накопичення навіть малої або мінімальної об'ємної кількості гідроперикарду.
Найбільш чутливою ознакою тампонади є циклічна компресія, інверсія або колапс ПП, коли камера серця спадається в пізню діастолу внаслідок компресії ззовні, що може тривати до ранньої систоли ПШ у випадку важкого ступеня тиску в порожнині перикарду. Цей симптом має помірну, втім, специфічність. Хоча діастолічний колапс ПШ (внутрішнє прогинання вільної стінки ПШ) відбувається пізніше по мірі накопичення об'єму рідини, це більш специфічний сипмтом, що найкраще оцінювати з парастернальної або субкостальної позиції по довгій вічі. Дилатація НПВ без інспіраторного колапсу має значну чутливітсь, але помірну специфічність щодо діагнозу ТС (за відсутності передіснуючого легенвого серця), що значно зменшує свою ступінь підчас ШВЛ з позитивним тиском. Імпульсно-хвильова допплерографія надає додаткову інформацію, що підтверджує ТС. Це стосуються змін швидкостей кровотоку на клапанах залежно від фаз дихання (краще записувати на нижчих швидкостях розгортки), включаючи інспіраторне прискорення діастолічного наповнення ПШ (>35-40%) із паралельним (дещо відтермінованим внаслідок транспульмонарного транзиту) інспіратоним зниженням прискорення діастолічного наповнення ЛШ та швидкості викиду в аорту. Слід відмитити, що такі фазові зміни мають зворотний характер при переведенні пацієнта на ШВЛ з позитивним тиском.
Якщо стан пацієнта вимагає ургентного перикардіоцентезу, ЕхоКГ є засобом моніторингу процедури, як таке, що доведено знижує ризик ускладнень [79]. ЕхоКГ може також використовуватись для визначення найглибшого рівня рідини, що забирається, та відстань від шкіряних покровів пацієнта до локалізації рідини. За необхідності, положення пункційної голки може візуалізуватися, та у випадку сумнівів може проводитися ін’єкція збовтаного ФР для підтвердження позиції голки в порожнині перикарду. ЕхоКГ також додатково може використовуватися для верифікації повноти дренування гідро перикарду. В цих умовах звичайно достатньо ТТЕхоКГ, а ЧСЕхоКГ використовується рідко.
Окремим аспектом є післяопераційний гідро перикард, коли накопичення рідини може бути невеликим та локалізованим, та ранні післяопераційні ЕхоКГ ознаки тампонади можуть бути відсутні (навіть за наявності глибоких порушень гемодинаміки). В цих умовах використання ТТЕхоКГ може потенційно призводити до недооцінки глибини порушень, та при підозрі на таку ситуацію пацієнту звичайно показана експлоративна торакоскопія/торакотомія або ЧСЕхоКГ перед втручанням за вимогою кардіохірурга.
Кардіогенний шок
Кардіогенний шок (КШ) є станом з СВ, що є неадекватним до вимог тканин периферії. Найчастішою причиною сьогодні лишається важка систолічна дисфункція ЛШ внаслідок ГІМ. Шок внаслідок дисфункція ЛШ лишається головною причиною смертності при ГІМ (50–70%) [80]. Інші причини включають дисфункція ПШ, механічні ускладнення ГІМ, КМП, важке порушення клапанної функції, міокардит, забій серця (контузія) та гостре РА. ЕхоКГ є найкращою методикою першої лінії для діагностики етіології КШ, що надає багато додаткової інформації щодо гемодинамічного стану пацієнта, включаючи тиски наповнення та УО. У будь-якому випадку завжди при підозрі на КШ ТТЕхоКГ показана як невідкладна діагностика. При субоптимальних результатах ТТЕхоКГ може бути показана ЧСЕхоКГ.
КШ як ускладнення ГІМ
В умовах ГІМ існує декілька етіологій розвитку КШ, включаючи раптове падіння функції ЛШ, інфаркт ПШ, гостра важка ТР та механічні ускладнення: розрив вільної стінки ЛШ, розрив МШП та розрив папілярного м'язу.
Дисфункція ЛШ
КШ може походити від гострої втрати значної питомої ваги скоротливого міокарду (щонайменш 40% ЛШ) або додаткового падіння міокардіальної функції в попередньо ушкодженому ЛШ. Причиною КШ після ГІМ може стати як поширений некроз міокарду, так і феномен «оглушення» нефунціонального, але життєздатного міокарду. Підчас ЕхоКГ це проявляється зниженням глобальної скоротливості ЛШ (падіння ФВ) та регіональної функції (сегментарні порушення скоротливості), падінням УО та СВ, підвищенням ТНЛШ та тисків в малому колі кровообігу з або без вторинної ішемічної МР. ФВ ЛШ та ступінь важкості МР є головними пре дикторами смертності, хоча ФВ ЛШ підчас госпіталізації не корелює з прогнозом пацієнта [81].
Інфаркт ПШ
ГІМ ПШ часто асоціюється з нижнім ГІМ та дуже рідко буває ізольованим. ЕхоКГ здатна виявляти диссинергію, дилатацію ПШ, парадоксальний рух МШП та симптом МакКоннелла. При цьому звичайно присутнє зниження систолічної екскурсії трикуспідального кільця (TAPSE). На користь підтвердження підозри щодо інфаркту ПШ також свідчить наявність ТР з низькими тисками в малому колі кровообігу, що асоціюється з легеневою регургітацією (ЛР) з крутим нахилом часу напівзниження тиску (РНТ), що свідчить про її важкість. Оцінка функції ЛШ в контексті гострої важкої дисфункції може бути утрудненою з причини відносної недовантаженості ЛШ. Оцінка має бути зваженою при розгляданні питання про екстракорпоральну підтримку з використанням механічних допоміжних пристроїв ПШ, коли зростання об’єму навантаження ЛШ може виявити його значну дисфункцію.
Розрив вільної стінки шлуночка
Розрив вільної стінки шлуночка є одним з найважчих ускладнень ГІМ, маніфестація якого може бути варіабельною від гострого раптового колапсу з електро-механічною дисоціацією до латентного поступового накопичення гемо перикарду з або без супутньої гіпотензії. ЕхоКГ здатна продемонструвати явну тампонаду або тільки підгостре накопичення рідини при підгострому розриві стінки (30% розрівів). Таким чином, наявність рідини в порожнині перикарду при ГІМ завжди є підставою для підозри на підгострий розрив стінки шлуночка та вимагає ретельного його пошуку. Також має значення ехо-структура перикардіального вмісту (кров, тромби) та локалізація випоту, що може дати ключ до локалізації розриву стінки.
Гостра мітральна регургітація
Гостра МР є потенційно життєво небезпечним ускладненням ГІМ [81]. Найчастіша її етіологія – вторинна (функціональна) ішемічна МР внаслідок дисфункції ЛШ без структурної органічної патології мітрального клапану (МК) внаслідок на тяжіння стулок та зниження сил закриття МК. Ступінь вторинної ішемічної МР є варіабельною, вона часто є динамічною, зменшуючись за ступенем підчас ШВЛ з позитивним тиском. Однак, навіть легка ступінь МР при ГІМ асоціюється з погіршенням прогнозу.
Рідше гостра МР є наслідком дисфункції або розриву папілярного м'язу (ПМ). Розрив заднього (задньо-медіального) ПМ є найчастішим, та може бути повним або частковим. ЕхоКГ звичайно демонструє частковий або повний «флейл» (патологічна рухомість) стулки. На користь чого діагнозу свідчить наявність трикутної мобільної структури на кінці патологічно рухомої стулки, що представляє собою головку ПМ, із їх глибоким пролапсом в порожнину ЛП в систолу. КДК звичайно виявляє ексцентричний високошвидкісний потік, направлений в протилежний від ураженої стулки бік (у випадку відриву з патологічно рухомою стулкою – антеросептально). Навіть при катастрофічно важкій гострій МР КДК може недооцінювати важкість МР внаслідок того, що тиск між ЛШ та ЛП швидко вирівнюється.
Гостра МР може також бути наслідком гострого передньо-систолічного руху МК, вторинного по відношенню до динамічної обструкції ВТЛШ. В цьому випадку ЕхоКГ дозволяє виявити прискорення швидкості систолічного потоку в ВТЛШ з типовим ПХД спектром у вигляді «кинджалу» з пізнім піком швидкості (з апікальних позицій). Важкість МР може бути варіабельною від легкої до важкої. Типово напрямок струменя МР розташований центрально, хоча може відхилятися в ЛП ексцентрично (звичайно в напрямку латеральної стінки ЛП). Тривалість потоку та конфігурація допплерівських спектрів допомагають диференціювати потік МР від систолічного турбулентного потоку обструкції ВТЛШ. При МР нисхідне коліно спектру прискорення до середини систоли звичайно стоїть перпендикулярно нульовій лінії, в той час як на спектрі систолічного потоку обструкції ЛШ воно має звивистий ступінчатий характер до досягнення пікової швидкості потоку. Крім того, спектр МР продовжується за межі періоду вигнання, а її початок відбувається раніше початку потоку обструкції ВТРШ. Оцінка важкості гострої МР відповідає існуючим рекомендаціям та детально описана, як і інші механічні ускладнення ГІМ [81, 82].
Ключові рекомендації щодо ЕхоКГ у пацієнтів в стані шоку.
(1) Для диференційного діагнозу причини гіпотензії або шоку з метою визначення чи виключення кардіальної етіології;
(2) Для диференційної діагностики різних кардіальних причин кардіогенного шоку та призначення відповідної терапії, включаючи хірургічне втручання за наявністю показань.
NB: ЧСЕхоКГ є показаною при неінформативності ТТЕхоКГ.
Нові аускультативні серцеві шуми
Аускультативні шуми можуть бути наслідком органічної клапанної патології, збільшення кровоточу через нормальний клапан або наслідком шунтів внаслідок вроджених та набутих шунтів. Шум у пацієнта з гострими серцево-легеневими симптомами або симптомами, що свідчать на користь органічного ураження серця є однозначними показами для ЕхоКГ, яка надає цінну інформацію відносно морфології та функції клапанів, етіології ураження клапану, кількісної оцінки порушення клапанної функції, розмірів порожнин серця та функції шлуночків, товщини стінок та тисків в малому колі кровообігу [83]. ЕхоКГ також дозволяє легко визначити асоційовані структурні порушення, такі як фіброз, кальциноз, тромбоз або наявність вегетацій та порушень рухливості клапанних структур (іммобілізація, «флейл» або пролабування стулок, або зяяння клапанного протезу). Оцінка порушення клапанної функції детально описана у відповідних рекомендаціях [82].
Звичайно, до госпіталізації у ВРІТ призводить важке порушення клапанної функції, частіше клапанів лівих відділів серця. Як аортальна (АР), так і МР є найчастішими гострими ситуаціями, хоча сьогодні, внаслідок розповсюдження кардіохірургічних втручань, зросла питома вага гострої дисфункції клапанних протезів [82]. Критичний аортальний стеноз (АС) може призводити до госпіталізації у ВРІТ при розвитку гострої декомпенсації, хоча може бути і випадковою знахідкою у пацієнтів, госпіталізованих з інших причин. Гостра декомпенсація внаслідок мітрального стенозу (МС) звичайно пов’язана з розвитком ФП та/або при швидкому зростанні об’єму циркулюючої крові (ОЦК), напр., при вагітності. Патологія клапанів правих відділів серця рідко призводить до декомпенсації такого ступеня, що вимагає госпіталізації per se, але основна патологія (напр., ендокардит) може виступати тригером госпіталізації у ВРІТ.
Клапанна регургітація
Гостра МР може ускладнювати ГІМ або розвинутися підчас епізоду транзиторної ішемії міокарду із залученням задньої та бокової стінки ЛШ. Гостра МР може також бути наслідком спонтанного розриву хорд дегенеративного або ревматичного ґенезу, інфекційного ендокардиту (ІЕ), гострої СН, як систолічної, так і діастолічної, травми або дисфункції протезу в мітральній позиції.
Гостра АР звичайно є наслідком гострого РА, травми, ІЕ та розриву вроджених клапанних фенестрацій або дегенеративних змін імплантованого біопротезу в аортальній позиції.
При розвитку гострої первинної МР або АР с гострими клінічними симптомами, це завжди говорить про високий рівень підозри щодо ІЕ. В цих умовах ТТЕхоКГ є невідкладною процедурою [84], що має виконуватися одразу по виникненні підозри на ІЕ. При неінформативності ТТЕхоКГ або при плануванні хірургічної тактики показана ЧСЕхоКГ. ЧСЕхоКГ показана особливо при оцінці функції клапанного протези. Окрім великої діагностичної цінності ЕхоКГ також є дуже корисною для оцінки кардіальних наслідків та ускладнень деструктивних клапанних уражень, прогнозу та визначення ризику емболій. Нарешті, в умовах ВРІТ ЕхоКГ допомагає клініцисту в прийнятті рішення та визначенні термінів і вчасності хірургічного втручання.
Підчас ЕхоКГ головна різниця між гострою та хронічною важкою клапанною регургітацією полягає в ступені дилатації камер серця та ступені підвищення тисків в ЛШ та ЛП. При гострій МР при збереженні міокардіальної функції ЛШ розміри ЛШ та ЛП звичайно нормальні або злегка дилатовані. Оцінка ступеня важкості регургітації є складною та має залучати декілька параметрів, інтерпретація яких слід проводити з урахуванням всіх клінічних контекстів, включаючи кардіореспіраторну підтримку пацієнта, в тому числі ШВЛ з позитивним тиском, та перелік фармакотерапії, включаючи седацію та анестезію, що може суттєво зменшити ступінь важкості МР. Для точної оцінки анатомії клапану в деяких випадках може бути показана ЧСЕхоКГ. МР також звичайно майже завжди є важкою у випадку розриву ПМ. Хоча КДК є цінною методикою виявлення та визначення напрямку струменя МР, КДК може недооцінювати ступінь важкості при дуже важкій МР, а ексцентричні потоки може бути важко оцінювати кількісно. Тому визначення площі регургітуючого потоку при гострій АР або МР для кількісної оцінки важкості сьогодні не є рекомендованим. За наявності, сьогодні рекомендується визначення vena contracta та методика визначення площі ефективного регургітуючого отвору (ЕРО) та об’єму регургітації (ОР) за площею конвергенції потоку (PISA). За цею методикою для АР критерієм важкої АР є ширина vena contracta >6 мм та площа ЕРО ≥30 мм2. Про важку МР говорить ширина vena contracta >7 мм або ЕРО ≥40 мм2. Слід наголосити, що навіть помірна МР, що розвинулася гостро в умовах маленького неподатливого (некомплаєнтного) ЛП, може викликати важкий застій в малому колі та системну гіпотензію. Також слід відмітити, що втручання, що впливають на циркуляцію та ШВЛ з позитивним тиском здатні значно змінювати гемодинаміку пацієнта та впливати на результати ЕхоКГ.
Інші специфічні для оцінки клапанної функції допплерівські показники можуть допомогти в формуванні переконання щодо визначення ступеня важкості регургітації. Для МР особливо інформативними є раннє досягнення пікової швидкості МР та значне зростання ретроградного потоку в легеневих венах (ЛВ) підчас систоли передсердь.
При АР на користь важкості додатково свідчать укорочення РНТ регургітуючого потоку (<200 ms) та зворотний голодіастолічний потік в нисхідній аорті (кінцево-діастолічна швидкість >20 cm/s). При гострій АР на користь критичної (катастрофічної, тотальної) регургітації свідчать передчасне діастолічне відкриття АК та передчасне закриття МК з діастолічною МР. У випадку дуже важкої регургітації допоміжними ознаками високого ТЛП є укорочення часу ізоволюмічної релаксації ЛШ (IVRT), рестриктивна графіка діастолічного наповнення ЛШ з підвищенням швидкості хвилі Е >1,5 м/с, УЗД легенів, що вказують на інтерстиціальний набряк. Переваги та обмеження різних ЕхоКГ та допплерівських показників для оцінки клапанної регургітації детально обговорюються у відповідних рекомендаціях, але оцінка ступеня важкості регургітації завжди мусить приймати до уваги респіраторний, фармакологічний та механічний стан пацієнта в умовах відповідної підтримки [82, 85]. Ретельна оцінка важкості клапанної регургітації потрібна у пацієнтів з показаннями до механічної циркуляторної підтримки. В таких ситуаціях навіть легка АР може мати гемодинамічні наслідки, тому що якщо серце не скорочується, вона стає постійною, що може викликати швидко прогресуючу дилатацію ЛШ [82].
Клапанні стенози
При встановленні діагнозу важкої клапанної дисфункції, що потребує втручання [86] ЕхоКГ забезпечує інформацію щодо анатомії серцевих структур, що дозволяють або не дозволяють проведення транскутанного інвазивного втручання [87, 88]. У пацієнтів з гострими станами в умовах ВРІТ показання до транскатетерного втручання є лімітованими, хоча вони потенційно можуть врятувати життя пацієнта (перкутанна мітральна комісуротомія (ПМК), балонна аортальна вальвулопластика (БАВ)) та служити мостом до інших втручань з відтермінованим виконанням після зниження операційного ризику.
Значний мітральний стеноз
Значущий МС може мімікрувати гострий респіраторний дистрес-синдром (ГРДС) з ознаками поганого газообміну та білатеральними легеневими інфільтратами. Але анамнез та повноцінне клінічне обстеження звичайно дозволяють легко встановити причинну етіологію. Тригером декомпенсації часто стає початок ФП. В умовах критичної декомпенсації звичайно швидке полегшення наступає при проведенні ПМК, що є методикою вибору у якості моста перед хірургічним втручанням у гострих нестабільних пацієнтів високого ризику. ЕхоКГ є основною методикою для оцінки етіології, важкості та наслідків та ускладнень МС на додаток до визначення анатомічної придатності та визначення протипоказів до проведення ПМК. Детальне описання оцінки анатомії та функції клапану і інтрапроцедурного ЕхоКГ моніторингу наведені у відповідних рекомендаціях [86].
Критичний аортальний стеноз
Критичний АС може бути головною причиною госпіталізації у ВРІТ або може бути випадковою знахідкою у пацієнтів з іншими симптомами (напр., при переломі стегна перед ортопедичною хірургією). Діагноз може бути утрудненим в умовах ВРІТ, особливо при станах із зниженням СВ, втім, ТТЕхоКГ є звичайно досить чутливим. Ургентне лікування критичного АС може включати покази до БАВ, як моста до хірургічного втручання або транскатетерну імплантацію протезу в аортальну позицію (TAVI) у пацієнтів з нестабільною гемодинамікою з високим операційним ризиком або з симптомним АС, що вимагають ургентного хірургічного екстракардіального втручання [88]. Як і при МС, детальне описання ЕхоКГ оцінки важкості та визначення показів до БАВ наведені у відповідних рекомендаціях [82-86].
Ключові рекомендації щодо ЕхоКГ у пацієнтів з серцевими шумами
(1) Гострі пацієнти (ті шо потребують інтенсивної терапії) з кардіальних причин з серцевими шумами та симптомами або ознаками СН, ішемією / інфарктом міокарду, сінкопальними станами, тромбоемболіями, інфекційним ендокардитом, або клінічними ознаками органічного ураження серця;
(2) При підозрі на мітральну регургітацію у пацієнта на ШВЛ з позитивним тиском може бути показаною стрес-ЕхоКГ (в т.ч. для створення навантаження об'ємом та/або тиском);
(3) У пацієнтів з критичним аортальним стенозом та кардіогенним шоком ЕхоКГ може бути використана для оцінки можливості виконання БАВ;
(4) У пацієнтів з важким мітральним стенозом та кардіогенним шоком та/або набряком легенів ЕхоКГ рекомендована для оцінки можливості виконання ПМК;
(5) У пацієнтів, що потребують екстракорпоральної механічної циркуляторної підтримки, невеликі ступені клапанної регургітації (особливо аортальної) можуть бути важливими та вимагати експертної оцінки.
Дисфункція клапанних протезів
Розвиток нестабільної гемодинаміки у пацієнта з імплантованим клапанним протезом завжди має викликати підозру на масивну обструкцію протезу або регургітацією, а крім того вимагає виключення ендокардиту протеза у пацієнтів з септичними станами. Для патології клапанів правих відділів серця розвиток гострого стану/декомпенсації є дуже нетиповим. При розвитку динамічної декомпенсації функції ЛШ та/або КШ завжди слід виключати дисфункцію протезу клапанів лівих відділів серця. Загальне описання гемодинаміки клапанних протезів наведені у відповідних рекомендаціях [89]. ЕхоКГ оцінка клапанних протезів є набагато важчою порівняно з нативними клапанами, тому вимагає експертного залучання з як ТТЕхоКГ, так і ЧСЕхоКГ [45].
Регургітація на клапанних протезах
Регургітація на протезах буває часто пара клапанною, хоча й гостре порушення структури біологічного протезу також може призвести до розвитку важкої гострої регургітації. В рідких випадках може траплятися злам механічного протезу, що призводить до емболізації уламками оклюдера (диску) з розвитком масивної регургітації. Великі пара клапанні протікання часто асоціюються з аномальним підвищенням мобільності та нестабільністю всього протезу («гойдання» протезу), що визначається як «зяяння» протезу (Рис. 15). Аномальна рухливість кільця протезу завжди свідчить на користь важкої параклапанної регургітації. Визначення ступеня важкості регургітації може представляти значні труднощі, особливо при використанні стандартних засобів оцінки АР у випадку порушення функції протезу в аортальній позиції. Дослідження площі та периметру протезу по короткій вісі є допоміжним засобом оцінки ступеня важкості АР, якщо струмінь мозаїчного току регургітації займає >20% (відповідає >72О) периметру кільця протезу (Рис. 16) [90, 91].

Рис. 15. «Гойдаючий» рух механічного протезу в аортальній позиції, що вказує на зяяння протезу (стрілки) в трансторакальній парастернальній позиції по довгій вісі ЛШ (PLAX) в систолу (зліва) та діастолу (справа).

Рис. 16. ЧСЕхоКГ пацієнта з Рис. 15. Зріз по короткій вісі на рівні механічного протезу з КДК демонструє важку параклапанну регургітацію (приблизно з 7 до 1 години за циферблатом (50% периметру отвору).
При гострій регургітації на протезі в аортальній позиції передчасне закриття МК вказує на тотальну (дуже важку) регургітацію. Вперше виявлені нові параклапанні токи в умовах ВРІТ звичайно вказують на розвиток ІЕ. На відміну від ІЕ нативних клапанів, при ІЕ протезів вегетації часто відсутні, а єдиними патологічними знахідками може бути параклапанна регургітації та/або нестабільність положення («гойдання») протезу.
Обструкції клапанних протезів
Зважаючи на те, що нормальна функція протезу вже є певною легкою обструкцією (стенозом), діагностика істинної обструкції протезу може бути утрудненою. Обструкція звичайно розвивається або внаслідок тромбозу механічного протезу (найчастіше в мітральній або трикуспідальній позиції), або внаслідок розростання панусу з сполученої тканини. Пряма ЕхоКГ візуалізація роботи механізму протезу звичайно легко доступна для мітральної або трикуспідальної позиції, але може бути складною при аортальній позиції протезу, навіть підчас ЧСЕхоКГ, та особливо при поєднанні з наявністю протезу в мітральній позиції. Усі випадки, втім, вимагають експертної позиції. Трансклапанний градієнт тиску на протезі може мати широкі нормальні межі, а справжня обструкція може не виявляти підвищення градієнтів тиску. З іншого боку, супутня регургітація на протезі або протез, замалий для пацієнта («неспівпадіння пацієнта та протеза») можуть призводити до реєстрації аномально високих швидкостей антероградного потоку без справжньої механічної обструкції. Частіше така ситуація спостерігається з протезами в аортальній позиції. В ідеалі для протеза в будь-якій позиції повинна проводитися динамічна оцінка з порівнянням з попередніми значеннями швидкостей на протезі (ідеально – безпосередньо після імплантації) з розрахунком відновлення тиску за показаннями [92]. У пацієнтів з високим СВ або в септичному стані підвищення СВ може призводити до відповідного зростання швидкостей та градієнтів тиску, що не пов’язані із справжньою клапанною обструкцією. При цьому (для диференційної діагностики) звичайно спостерігається збільшення швидкостей на всіх клапанах, а не тільки на досліджуваному протезі. Подовження часу прискорення (інтервал від початку викиду до пікової швидкості) >100 мс (Рис. 17) відповідає обструкції механічного протезу в аортальній позиції. ЧСЕхоКГ та МСКТ є особливо цінними методами діагностики тромбозу або панусу протезу в аортальній позиції та при розвитку цих феноменів з боку ЛП на протезі в мітральній позиції. При залишкових підозрах показана рентгеноскопія механічного протезу.

Рис.17. Постійна-хвильова допплерограма на двостулковому механічному протезі в аортальній позиції з частковою тромботичною обструкцією, що була підтверджена підчас хірургічного втручання. Високі швидкості (4,36 м/с) та піковий градієнт (76 мм Hg) із швидким прискоренням (між червоними стрілками) 124 мс.
Ключові рекомендації щодо ЕхоКГ у пацієнтів із підозрою на дисфункцію клапанного протезу.
(1) Невідкладна ТТЕхоКГ є обов'язковою у всіх пацієнтів з підозрою на гостру дисфункцію клапанного протезу для визначення ступеня та механізму регургітації та/або обструкції;
(2) ЧСЕхоКГ є потрібною за винятком випадків, коли результат ТТЕхоКГ є абсолютно чітким.
(3) ЕхоКГ повинна використовуватися паралельно з іншими діагностичними технологіями там, де існує суперечливість або нечіткість розуміння механізмів дисфункції.
(4) При підозрі на обструкцію протезу, слід розглянути доцільність рентгеноскопії та/або КТ.
Аритмії серця
У пацієнтів в критичних станах ЧСС, що може бути прийнятною для амбулаторного пацієнта, може бути неадекватною та викликати або погіршувати порушення гемодинаміки, або навпаки. При обмеженні УО (напр., при рестриктивній гемодинаміці в ПШ) відносна тахікардія може бути корисною для підтримання адекватного СВ. В цій популяції пацієнтів може вимагатися ЧСС 100 – 120 уд./хв. При інших нозологіях можуть існувати інші вимоги: при МС для підтримання досить низького ТЛП потрібна подовжена діастола; при рестрикції ЛШ/ПШ, навпаки, потрібна коротка діастола; при значущій тривалій МР та/або ТР тахікардія може важко обмежувати наповнення шлуночків. При оцінці хворих в критичному стані оптимальна ЧСС повинна визначатися індивідуально виходячи з конкретної етіології стану та підтримання адекватного СВ при найнижчих можливих тисках наповнення, що робить ЕхоКГ оцінку деяких пацієнтів дуже складною, але необхідною.
Передсердні аритмії
Передсердні аритмії, що часто спостерігаються в умовах ВРІТ, представляють собою певне утруднення для оцінки функції серця та гемодинаміки, особливо у випадку нерегулярних форм аритмій (найчастіше ФП). Втрата скорочення передсердь та зміни переднавантаження та скоротливості ЛШ від удару до удару впливають на діастолічне наповнення та викид з ЛШ. Занадто частий та нерегулярний ритм справді суттєво впливає на точність оцінки функції та тисків наповнення порожнин серця [93]. При ФП звичайно використовують усереднення приблизно 10 послідовних скорочень (запропонована оцінка ≥13 скорочень [94]), що дозволяє використання ЕхоКГ параметрів, що звичайно використовують для визначення підвищених тисків наповнення у пацієнтів із синусовим ритмом, за винятком різниці між часом ретроградного потоку в систолу передсердь в ЛВ (Ar) та тривалістю трансмітральної хвилі А. Співвідношення Е/е’ (>13) та Е/Vp (>1,4) вказують на підвищений ТНЛШ. Втім, у пацієнтів в критичних станах ці показники слід використовувати з обережністю. Також для визначення підвищення ТНЛШ цінність представляє визначення часу сповільнення хвилі D в ЛВ (<220 мс). Виміри в трьох послідовних циклах при ЧСС близько 70 уд./хв. замість вимірів в 10 послідовних циклах може бути досить адекватним. Було також продемонстровано, що час сповільнення хвилі Е ≤150 мс теж є ознакою підвищеного ТНЛШ у пацієнтів із зниженою ФВ ЛШ [59, 95]. Лишається важливим усереднення вимірів параметрів при оцінці як систолічної, так і діастолічної функції ЛШ, крім того, були запропоновані інші підходи [96]. Метод «індексного удару» використовує виміри, виконані в серцевому циклі після пари рівних попередніх кардіальних циклів. При тривалості ФП >48 годин або при відомій давності пароксизму для виключення внутрішньосерцевого тромбозу перед кардіоверсією (КВ) згідно існуючих рекомендацій [45] показано проведення ЧСЕхоКГ.
Шлуночкові аритмії
Пацієнти з шлуночковими аритміями вимагають визначення точної етіології аритмії для прийняття рішення та подальшого лікування. ЕхоКГ є одним з найперших досліджень показаних негайно після вдалого припинення аритмії.
Ішемія
Ішемія є найчастішою причиною шлуночкових аритмій, що може викликати фібриляцію шлуночків (потребує невідкладної дефібриляції), шлуночкову тахікардію (ШТ) або ФП. ЕхоКГ в гострих умовах може допомогти виявити зниження глобальної функції ЛШ або сегментарні порушення його скоротливості внаслідок оклюзії або стенозу коронарної артерії з визначенням невідкладних показів до реваскуляризації (див. вище розділ ГКС). У хронічних пацієнтів після ГІМ виявлення рубцевої тканини та зниження функції ЛШ є важливими фокусами для визначення потенційного аритмогенного субстрату. В неургентних клінічних умовах ФВ ЛШ є найчастіше використованим параметром для стратифікації ризику шлуночкових аритмій, визначення прогнозу та прийняття рішення щодо показів до імплантованого кардіовертера-дефібрилятора (ІКД) у пацієнтів після ГІМ. В умовах ВРІТ найкращі параметри для оцінки вище перерахованого в контексті використання інотропних агентів та можливої ШВЛ доказово не визначені.
Неішемічні причини
Неішемічні причини слід приймати до уваги особливо у індивідів <35 років з шлуночковими аритміями. Спадкові генетичні захворювання серця є найчастішими причинами життєво небезпечних аритмій в цій популяції, що включають ГКМП, аритмогенну КМП ПШ та сімейну дилатаційну КМП (ДКМП). При аритмогенній правошлуночковій КМП (АПШК) ЕхоКГ допомагає виявити дилатацію ПШ із зниженою функцією, дилатацію ВТПШ та, в прогресивних випадках, витончення стінки ПШ з аневризмами та/або підвищення трабекулярності ПШ (Рис. 18). При ГКМП ЕхоКГ типово допомагає визначити асиметричну (рідше симетричну) гіпертрофію, нормальні або дещо зменшені об’єми ЛШ, діастолічну дисфункцію та збільшення об’ємів передсердь [97]. Гіпертрофія МШП та будь-яких інших сегментів >15 мм за відсутності будь-яких відомих банальних або доведених причин (артеріальна гіпертензія, АС, амілоїдоз, тощо) є підставою для вірогідного діагнозу ГКМП [97]. Важливо пам’ятати , що при цілком нормальних результатах ЕхоКГ або інших засобів візуалізації у молодих пацієнтів з шлуночковими аритміями слід також виключити наявність вродженої іонної каналопатії або токсичної КМП (в тому числі внаслідок наркотизації). Також при нормальних результатах стандартної ЕхоКГ доцільно для виявлення пролонгації скорочення та сегментарної субендокардіальної дисфункції доцільно використовувати СТЕ [99, 100]. Детальне описання щодо ЕхоКГ в таких випадках наведене у відповідних рекомендаціях [100].

Рис.18. Дилатований ПШ із зниженою функцією, дилатований виносний тракт ПШ (ВТПШ) та потовщена стінка ПШ із значною трабекулярністю верхівкового відділу ПШ та вільної стінки – ознаки аритмогенної ПШ КМП.
Травми серця та аорти
Тупа або проникаюча травма грудної клітки може викликати важке ушкодження серця та магістральних судин. Як ТТЕхоКГ, так і ЧСЕхоКГ відіграють важливу роль в оцінці пацієнтів з травмою грудної клітки. ЧСЕхоКГ особливо може бути показана у пацієнтів з політравмою та/або на ШВЛ, або при підозрі на гострий аортальний синдром. Серед усіх причин тупої травми, що призводить до значної травми грудної клітки, найчастіше трапляються травма внаслідок дорожньо-транспортних пригод (ДТП), в тому числі наїзд на пішохода, та падіння з висоти. Важливо диференціювати травми власно серця та аорти. В сучасних великих медичних центрах з відділенням полі травми ургентне МСКТ дозволяє швидку та широку візуалізацію всіх анатомічних структур, та за доступності є методикою візуалізації вибору. В таких випадках з одностайними доказами травми аорти інші методи візуалізації звичайно не потрібні. На відміну від інших засобів візуалізації ЧСЕхоКГ може використовуватися інтраопераційно, дозволяючи контроль за виконанням хірургічних маніпуляцій, та впливаючи на прийняття рішення хірургом та анестезіологом. Крім того ЧСЕхоКГ допомагає оцінити можливі порушення скоротливості та оцінити гемодинамічні наслідки гідро перикарду [9, 102]. Втім, по різним даним у 5–25% пацієнтів з політравмою мають місце перелом шийного відділу хребта, коли проведення ЧСЕхоКГ є протипоказаним [9]. Коректна діагностика, крім того, потребує диференційної діагностики розриву аорту та інших станів, що можуть його мімікрувати, таких як атероматозні бляшки та аортальний детрит. Також диференційної діагностики вимагають псевдоаневризми та справжні аневризми [9].
Гостра травма аорти
Доведено, що 75–80% всіх травм грудної аорти є наслідком ДТП з лобовим або боковим ударом. Гостра травма аорти внаслідок тупої грудної травми є досить поширеною причиною госпіталізації у ВРІТ та смертності, та є летальною в 80 – 90% випадків. При ранньому виявленні близько 60 – 80% пацієнтів, що досягають шпиталю живими (звичайно з розвитком псевдоаневризми аорти) виживають після невідкладного втручання. Тому швидка діагностика та лікування таких травм є критичним для виживання пацієнта [102]. Хоча відкрита хірургія лишається «золотим стандартом» лікування, сьогодні в багатьох центрах поширюється ендоваскулярне стентування. Травма може викликати розрив аорти, РА або розвиток інтрамуральної гематоми. Частковий розрив аортальної стінки може призвести до формування псевдоаневризми. Хоча ЧСЕхоКГ є добре описаною методикою у пацієнтів із підозрою на травму аорти, сьогодні частиною обов’язкового протоколу діагностики в таких ситуаціях частіше є рутинна МСКТ. Розуміння механізму травми аорти є критичним для інтерпретації результатів візуалізації. Найбільш часто в результаті тупої травми травмуються місця відносної нерухомості аорти (гирло аорти та ligamentum arteriosum, корінь аорти та аорта на рівні діафрагми). Точна патофізіологія травм аорти є складною та є результатом взаємодії множинних механізмів. Кістковий прокол викликається зміщенням назад зламаної грудини, яка затискає аорту в найвужчій точці грудної клітки. Торсія (кручіння) висхідної аорти призводить до скручування аорти вище фіксованого АК. Компресія просвіту змушує кров текти ретроградно в напрямку АК, викликаючи ефект водяного молотка. На рівні ligamentum arteriosum на аорту впливають сили згинання та зсуву, що підсилюються анатомічними змінами за рахунок кісткового проколу грудними хребцями та змінами тиску внаслідок ефекту водяного молотка. Комбінація сил концентрується в фіксованій точці нисхідної аорти на рівні ligamentum arteriosum [102]. Травма аорти найчастіше є результатом поперечних розривів, може бути сегментарною або циркулярною, та частковою або трансмуральною. Часткові надриви звичайно включають тільки внутрішні два шари, призводячи до «стриманого» розриву. Адвентиція травмується в до 40% випадків, що майже завжди є фатальним внаслідок масивної крововтрати. Хоча іноді за рахунок м'яких тканин середостіння може розвинутися тимчасова тампонада [9, 102].
Ключові рекомендації щодо ЕхоКГ у пацієнтів з підозрою на гостру травму аорти.
ЕхоКГ є рекомендованою:
(1) ЧСЕхоКГ є візуалізаційною методикою першої лінії, що є рекомендованою для діагностичного підтвердження у пацієнтів з підозрою на гостре травматичне ураження аорти (Хоча на практиці в більшості центрів для візуалізації першої лінії використовуються протоколи КТ).
(2) ЧСЕхоКГ є також рекомендованою інтраопераційно для контролю за хірургічними та анестезіологічними процедурами.
ЕхоКГ не є рекомендованою:
(1) ЧСЕхоКГ є відносно протипоказаною пацієнтам із переломами шийного відділу хребта.
Гострі травми серця
При тупій травмі серця залучаються декілька травмуючих сил та факторів, включаючи компресію серця між хребтом та грудиною, різкі коливання тисків в грудній клітці та черевній порожнині та хвиля контузії. Крім того, травматизація може відбуватися фрагментами зламаних ребер. Якщо лікар не має досвіду оцінки тупих травм грудної клітки, він може легко недооцінити потенційний ступінь ушкодження тканин при тупій травмі, особливо при контузіях. Пацієнти з невеликими травмами без тахікардії, гіпотензії, задишки та інших важливих симптомів звичайно не потребують більш ретельної оцінки, ніж об’єктивний огляд. У пацієнтів з більш важкими травмами клінічна оцінка є більш складною та часто недостатньо чутливою та специфічною щодо діагностики травми серця [103, 104]. Клініцисти повинні розуміти, що при травмі гіпотензії та тахікардія часто може бути наслідком крововтрати, але їх наявність в умовах ізольованої травми грудної клітки може бути ознакою перикардіальної тампонади та/або пневмотораксу/гемотораксу, які обов’язково мають бути виключені. Для цього рекомендоване УЗД у «ліжка хворого» (напр., фокусна УЗ-оцінка при травмі за системою FAST, що включає скрининг на клінічно значущий гемоперикард та вміст плевральної порожнини [17]. При виключення тампонади слід провести стандартну ЕхоКГ, яка корисна у пацієнтів з симптомами СН або патологічними аускультативними феноменами для діагностики дисфункції шлуночків, оцінки необхідності в інфузійній терапії або ізотропній підтримці, та для виявлення інших ушкоджень, включаючи дисфункцію ПШ, що можуть потребувати втручань або динамічного спостереження аритмій. При цьому ЧСЕхоКГ має переваги над ТТЕхоКГ [105] при діагностиці причин нестабільної гемодинаміки та інших проблем, потенційно пов’язаних з травмою серця. ЧСЕхоКГ забезпечує чіткішу візуалізацію скорочення стінок, та його порушень, та можливих ушкоджень клапанів серця (напр., розрив клапану) та перегородок (напр., розрив ДМШП). Тупа травма серця включає широкий спектр анатомічних та функціональних порушень від «німих» транзиторних аритмій до розриву серця з летальним виходом.
Забій (контузія) серця з дисфункцією
Найбільш типовим проявом контузії серця є міокардіальна дисфункція (зниження скоротливості за відсутності аритмій чи ознак кровотечі). Типово уражуються праві відділи серця внаслідок щільного прилягання до передньої грудної стінки, причому однаково часто трапляється контузія як шлуночків, так і передсердь. ЕхоКГ дозволяє виявити глобальну дисфункцію міокарда або порушення сегментарної скоротливості. В таких ситуаціях завжди в заключення мають виноситися виміри показників функції ПШ, наприклад, TAPSE, які далі використовуються для динамічного спостереження за функцією ПШ, а також приймати до уваги гемодинамічний стан хворого, респіраторний статус та інотропну та пресорну підтримку, та стан сатурації газів крові на момент обстеження. Слід виконувати ретельну візуалізацію вільної стінки ПШ з пошуком потоншених сегментів міокарду, що визначають ризик розриву. При наявності перикардіального випоту існує підвищений значний ризик розриву вільної стінки ПШ. Тому в цих випадках також слід проводити ретельний скрінінг щодо пошуку псевдоаневризм з використанням всіх доступних акустичних вікон. Парадоксальний рух МШП може бути результатом блокади правої ніжки пучка Гіса (ПНПГ), і якщо це підтверджується ЕКГ, то це ще один доказ контузії серця.
Розрив серця
Розрив міокарду є найсерйознішим типом тупої травми серця, при якому більшість пацієнтів не виживають до госпіталізації та невідкладної хірургічної допомоги. В тих, що дістаються лікарні живцем, ургентна ЕхоКГ з невідкладним оперативним втручанням рятує життя. Менш тяжкі травми стінки шлуночків можуть призводити до відтермінованого некрозу та маніфестувати як пізній розрив через декілька днів після госпіталізації, що вимагає відповідного моніторингу при підозрі на ризик такої ситуації.
Розрив перегородок та клапанів
Травми перегородок та клапанів є досить рідкими. Клапанна травма звичайно стосується АК, МК та ТК. Ураження може полягати в розривах стулок, ПМ або хорд з розвитком гострої клапанної регургітації, що легко запідозрити та підтвердити підчас ЕхоКГ.
ГІМ
Хоча й рідко, ГІМ може ускладнюватися розшаруванням коронарних артерій з розривом та/або тромбозом. Найчастіше це трапляється з передньою міжшлуночковою гілкою (ПМШГ) лівої коронарної артерії (ЛКА). У випадку підозри на ГІМ з ускладненням методами невідкладної діагностики є ЕКГ та ЕхоКГ.
Аритмії
Аритмії збільшують рівень підозри на травму серця при виключенні кровотечі, особливо при нез’ясованих персистуючих тахікардіях, вперше виниклих блокадах ніжок пучка Гіса та аритміях низьких градацій (напр., поодинока шлуночкова екстрасистолія), що є підставою для невідкладної ЕхоКГ оцінки.
Ключові рекомендації щодо ЕхоКГ у пацієнтів з підозрою на гостру травму серця
(1) Фокусна («прицільна») ЕхоКГ повинно бути негайно виконаною у пацієнтів з ізольованою травмою грудної клітини, гіпотензією та тахікардією для виключення тампонади перикарду або напруженого ПТ;
(2) Невідкладна ЕхоКГ є необхідною у пацієнтів з ізольованою травмою грудної клітини, без тампонади серця або ПТ, але з персистуючою тахікардією або гіпотензією, ознаками СН, аномальними аускультативними знахідками, патологічною ЕКГ або рецидивуючими аритміями. У таких пацієнтів ЕхоКГ може допомогти діагнозувати причину патологічних знахідок, оцінити потребу в відновленні ОЦК або інотропній підтримці та ідетифікувати інші травми, що потребують втручання;
(3) ЧСЕхоКГ має переваги перед ТТЕхоКГ в оцінці травматичних уражень серця.
ЕхоКГ не є рекомендованою:
(1) У пацієнтів з невеликими травмами грудної клітини без тахікардіх, гіпотензії, утруднень дихання, болю в грудяхабо інших небезпечних симптомів та необхідності інших втручань, окрім клінічної оцінки.
Постпроцедурні ускладнення
Показання та методологія інтраопераційної та інтрапроцедурної ЕхоКГ є широко рекомендованими та документованими. Якщо у пацієнта після кардіохірургічного або катетерного втручання розвивається дестабілізація гемодинаміки та/або неадекватний СВ, ЕхоКГ є методом візуалізації першої лінії для ідентифікації етіологічної причини. Рекомендована повноцінна ТТЕхоКГ, але часто перевага віддається ЧСЕхоКГ внаслідок неоптимальної якості ТТЕхоКГ внаслідок поганого ехо-вікна, особливо безпосередньо після хірургічного втручання.
Постхірургічні ускладнення
Гідроперикард та ТС є розповсюдженими ускладненнями після кардіохірургічних втручань. Діагностика є добре описаною. При негативних результатах ТТЕхоКГ рекомендоване проведення ЧСЕхоКГ. Часто ЕхоКГ ознаки ТС відсутні, а кількість рідини невелика та локалізована (що може бути пропущене підчас ТТЕхоКГ). Часто після тривалого штучного кровообігу та кардіоплегії міокардіальна функція безпосередньо після операції може бути значно порушеною. Після коронарних втручань слід завжди пам’ятати про високий рівень підозри щодо розриву/розшарування коронарних артерій та необхідність в ургентній КАГ за необхідністю. Проксимальні 2 – 4 см коронарних артерій можуть бути досліджені підчас ЧСЕхоКГ. Після операцій на МК, дослідження обов’язково повинно включати оцінку ходу огинаючої гілки (ОГ) ЛКА в зоні заднього сегменту мітрального кільця.
ПШ є особливо чутливим до розвитку дисфункції після аорто-коронарного шунтування (АКШ), механізми чого до сьогодні лишаються неясними. Дисфункція ПШ може серйозно вплинути на прогноз пацієнта, тому підчас ЕхоКГ у таких пацієнтів слід детально вивчати розміри та функцію ПШ. TAPSE є одним з високо рекомендованих параметрів функції ПШ, що має виноситися у заключення як перед, так і після оперативного втручання, беручи до уваги стан гемодинаміки та рівень респіраторної та інотропної підтримки. TAPSE зменшується безпосередньо після хірургічного втручання, тому рекомендовано визначати його інтраоперативно (перед та після кардіоплегії, після операції, після введення протаміну та у певних обставинах, напр., після створення кондуїту ПШ в ЛА, після ушивання грудної клітки). Якщо процедура залучала маніпуляції з коронарними артеріями, не слід вважати, що причина дисфункції ПШ полягає лише в наслідках кардіоплегії.
ЕхоКГ безпосередньо після кардіотрансплантації є дуже важливою, особливо у гемодинамічно нестабільних пацієнтів. Вона допомагає виявити раннє відторгнення, ранню дисфункцію ПШ, тампонаду та інши причини дестабілізації гемодинаміки.
Ускладнення після катетерних та електрофізіологічних інвазивних втручань
Гострі ускладнення, які здатна діагностувати ЕхоКГ, як правило, включають тампонаду, шлуночкову недостатність та КШ, оклюзію коронарних стентів та дислокація імплантованих пристроїв. Найчастіші ускладнення детально описані у відповідних рекомендаціях [87]. При встановленні внутрішньосерцевих імплантованих пристроїв дестабілізація гемодинаміки є показанням для невідкладної ТТЕхоКГ. Часто ця ситуація вимагає проведення експертного рівня ЧСЕхоКГ з сумісною оцінкою разом з інвазивним кардіологом, що проводить імплантацію. Крім діагностики дислокації пристроїв, ЕхоКГ повинна використовуватися для визначення часу, ступеня невідкладності та стратегії наступних втручань.
Екстракорпоральна підтримка
Екстракорпоральна підтримка (ЕП) сьогодні все частіше використовується у хворих в критичних станах з важкою серцевою та/або дихальною недостатністю. Вона використовується в якості моста перед одужанням, трансплантацією, підчас прийняття рішення про наступні втручання, або як остаточна паліативна терапія. Хоча ЕхоКГ при використанні ЕП є дуже високо спеціалізованим дослідженням, але відомо декілька ключових принципів [106, 107]. По-перше, ЕП не є лікуванням per se, але допоміжною методикою протягом терміну вирішення підлеглого патологічного процесу. Тому ЕхоКГ відіграє життєво необхідну роль в виключенні та визначенні потенційної виліковності етіологічної причини серцево-легеневої недостатності. По-друге, ЕхоКГ є необхідною для власне визначення показань для ЕП ПШ та/або ЛШ та потрібного рівня ЕП, а також в оцінці знатності шлуночків підтримувати кровотік в екстракорпоральному контурі. Це вимагає від оператора розуміння різних типів контурів та рівні навантаження на серце в кожному окремому випадку. По-третє, ЕхоКГ є обов’язковим методом візуалізації для виключення серцево-судинних протипоказів до призначення ЕП (Таб. 3). ЕхоКГ, таким чином, відіграє життєво важливу роль в успішному втіленні ЕП, включаючи підтвердження коректних локалізацій катетерів, визначенні досягнення цілей ЕП, виявленні можливих ускладнень та переносимості пристрою пацієнтом. Нарешті, у пацієнтів, що потребують ЕП запропоновано до застосування різні ЕхоКГ параметри у поєднанні з клінічною та гемодинамічною оцінкою для спроби передбачення успішного відключення пацієнта від ЕП. Але така експертна оцінка вимагає відповідного спеціалізованого тематичного удосконалення.
Таб. 3. ЕхоКГ протипоказання до екстракорпоральної підтримки.
|
Абсолютні протипоказання до VA ECMO / LVAD:
-
Розшарування аорти (неопероване)
-
Важка аортальна регургітація
-
Коарктація аорти (неоперована)
|
Абсолютні протипоказання до VV ECMO:
-
Важка шлуночкова дисфункція
-
Зупинка серця
-
Важка легенева гіпертензія
|
|
Відносні протипоказання до VA ECMO / LVAD:
-
Важка атерома аорти
-
Аневризма черевного / грудного відділу аорти з інтралюмінальним тромбом
|
Відносні протипоказання до VV ECMO:
-
Великі ВОВ / ДМПП
-
Значуща патологія ТК (ТС/ТР)
|
|
ВОВ / ДМПП – відкрите овальне вікно / дефект міжпередсердної перегородки; ТС/ТР – трикуспідальні стеноз / регургітація; VA ECMO / LVAD – венозно-артеріальна екстракорпоральна мембранна оксигенація / допоміжний пристрій ЛШ; VV ECMO – венозно-венозна екстракорпоральна мембранна оксигенація
|
Висновки
ЕхоКГ сьогодні є первинним засобом візуалізації «біля ліжка хворого» для діагностики та динамічного спостереження та моніторингу пацієнтів з гострими серцево-судинними станами. ЕхоКГ є неінвазивною, забезпечує швидку та точну оцінку анатомії серця та центральної гемодинаміки в умовах ВРІТ, та є дуже корисною підчас проведення лікування та лікувальних втручань. Факт відтворюваності ЕхоКГ за вимогою робить її високо корисною в умовах невідкладних станів та ургентної і невідкладної допомоги.
Література
1. Douglas P, Khandheria B, Stainback R et al. ACCF/ ASE/ACEP/ASNC/SCAI/SCCT/ SCMR 2007 appropriateness criteria for transthoracic and transesophageal echocardiography: A report of the American College of Cardiology Foundation Quality Strategic Directions Committee Appropriateness Criteria Working Group, American Society of Echocardiography, American College of Emergency Physicians, American Society of Nuclear Cardiology, Society for Cardiovascular Angiography and Interventions, Society of Cardiovascular Computed Tomography, and the Society for Cardiovascular Magnetic Resonance endorsed by the American College of Chest Physicians and the Society of Critical Care Medicine. J Am Coll Cardiol 2007;50:187–204.
2. Evangelista A, Flachskampf F, Lancellotti P et al. European Association of Echocardiography recommendations for standardization of performance, digital storage and reporting of echocardiographic studies. Eur J Echocardiogr 2008;9:438–448.
3. Lang R, Badano L, TsangWet al. EAE/ASE recommendations for image acquisition and display using three-dimensional echocardiography. Eur Heart J Cardiovasc Imaging 2012;13:1–46.
4. Feneck R, Kneeshaw J, Fox K et al. Recommendations for reporting perioperative transoesophageal echo studies. Eur J Echocardiogr 2010;11:387–393.
5. Skyba D, Camarano G, Goodman N et al. Hemodynamic characteristics, myocardial kinetics and microvascular rheology of FS-069, a second-generation echocardiographic contrast agent capable of producing myocardial opacification from a venous injection. J Am Coll Cardiol 1996;28:1292–1300.
6. Garcia-Fernandez M, Macchioli R, Moreno P et al. Use of contrast echocardiography in the diagnosis of subacute myocardial rupture after myocardial infarction. J Am Soc Echocardiogr 2001;14:945–947.
7. Mansencal N, Nasr I, Pilliere R et al. Usefulness of contrast echocardiography for assessment of left ventricular thrombus after acute myocardial infarction. Am J Cardiol 2007;99:1667–1670.
8. Evangelista A, Flachskampf F, Erbel R et al. Echocardiography in aortic diseases: EAE recommendations for clinical practice. Eur J Echocardiogr 2010;11:645–658.
9. Kusnetzky L, Khalid A, Khumri T et al. Acute mortality in hospitalized patients undergoing echocardiography with and without an ultrasound contrast agent: Results in 18,671 consecutive studies. J Am Coll Cardiol 2008;51:1704–1706.
10. Main M, Ryan A, Davis T et al. Acute mortality in hospitalized patients undergoing echocardiography with and without an ultrasound contrast agent (multicenter registry results in 4,300,966 consecutive patients). Am J Cardiol 2008;102: 1742–1746.
11. Wei K, Mulvagh S, Carson L et al. The safety of deFinity and Optison for ultrasound image enhancement: A retrospective analysis of 78,383 administered contrast doses. J Am Soc Echocardiogr 2008;21:1202–1206.
12. Exuzides A, Main ML, ColbyCet al.Aretrospective comparison of mortality in critically ill hospitalized patients undergoing echocardiography with and without an ultrasound contrast agent. JACC Cardiovasc Imaging 2010;3:578–585.
13. Senior R, Becher H, MonaghanMet al. Contrast echocardiography: Evidence-based recommendations by European Association of Echocardiography. Eur J Echocardiogr 2009;10:194–212.
14. Volpicelli G, Elbarbary M, BlaivasMet al. International evidence-based recommendations for point-of-care lung ultrasound. Intensive Care Med 2012;38:577–591.
15. Gargani L. Lung ultrasound: A new tool for the cardiologist. Cardiovasc Ultrasound 2011;9: 6.
16. NeskovicA, EdvardsenT, GalderisiMet al. Focus cardiac ultrasound: The European Association of Cardiovascular Imaging viewpoint. Eur Heart J Cardiovasc Imaging 2014;15(9): 956–960.
17. Breitkreutz R,Walcher F, Seeger F. Focused echocardiographic evaluation in resuscitation management: Concept of an advanced life support-conformed algorithm. Crit Care Med 2007;35:S150–S161.
18. Breitkreutz R, Price S, Steiger HV et al. Emergency UltrasoundWorking Group of the JohannWolfgang GoetheUniversity Hospital, Frankfurt am Main. Resuscitation 2010;81:1527–1533.
19. Neskovic A, Hagendorff A, Lancellotti P et al. Emergency echocardiography: The European Association of Cardiovascular Imaging recommendations. Eur Heart J Cardiovasc Imaging 2013;14:1–11.
20. Sicari R, Galderisi M, Voigt JU et al. The use of pocketsize imaging devices: Aposition statement of the European Association of Echocardiography. Eur J Echocardiogr 2011;12:85–87.
21. Popescu B, Andrade M, Badano L et al. European Association of Echocardiography recommendations for training, competence, and quality improvement in echocardiography. Eur J Echocardiogr 2009;10:893–905.
22. The European Association of Echocardiography Certification in Echocardiography. http://www.escardio.org/communities/ EACVI/accreditation/Pages/welcome.aspx
23. Popescu BA, Stefanidis A, Nihoyannopoulos P et al. Updated standards and processes for accreditation of echocardiographic laboratories from The European Association of Cardiovascular Imaging. Eur Heart J Cardiovasc Imaging. 2014;15(7): 717–727.
24. The European Association of Echocardiography Laboratory Accreditation Process. http://www.escardio.org/communities/EACVI/accreditation/lab/Pages/ welcome.aspx.
25. Nolan JP, Soar J, Zideman DA et al. European Resuscitation Council Guidelines for Resuscitation 2010 Section 1. Executive summary. Resuscitation 2010;81: 1219–1276.
26. Eek C, Grenne B, Brunvand H et al. Strain echocardiography predicts acute coronary occlusion in patients with non-ST-segment elevation acute coronary syndrome. Eur J Echocardiogr 2010;11:501–508.
27. Grenne B, Eek C, Sjoli B et al. Acute coronary occlusion in non-ST-elevation acute coronary syndrome: Outcome and early identification by strain echocardiography. Heart 2010;96:1550–1556.
28. Kaul S, Senior R, Firschke C et al. Incremental value of cardiac imaging in patients presenting to the emergency department with chest pain and without ST-segment elevation: A multicenter study. Am Heart J 2004;148:129–136.
29. Tong K, Kaul S, Wang XQ et al. Myocardial contrast echocardiography versus Thrombolysis In Myocardial Infarction score in patients presenting to the emergency department with chest pain and a nondiagnostic electrocardiogram. J Am Coll Cardiol 2005;46:920–927.
30. Conti A, Sammicheli L, Gallini C et al. Assessment of patients with low-risk chest pain in the emergency department: Head-to-head comparison of exercise stress echocardiography and exercise myocardial SPECT. AmHeart J 2005;149:894–901.
31. Nucifora G, Badano L, Sarraf-Zadegan N et al. Comparison of early dobutamine stress echocardiography and exercise electrocardiographic testing for management of patients presenting to the emergency department with chest pain. Am J Cardiol 2007;100:1068–1073.
32. Gaibazzi N, Squeri A, Reverberi C et al. Contrast stressechocardiography predicts cardiac events in patients with suspected acute coronary syndrome but nondiagnostic electrocardiogram and normal 12-hour troponin. J Am Soc Echocardiogr 2011;24:1333–1341.
33. Cooper L. Myocarditis. N Engl J Med 2009;360:1526–1538.
34. Escher F, Kasner M, Kuhl U et al. New echocardiographic findings correlate with intramyocardial inflammation in endomyocardial biopsies of patients with acute myocarditis and inflammatory cardiomyopathy. Mediators Inflamm. Epub ahead of print 20 March 2013. DOI:10.1155/2013/875420.
35. Felker G, Boehmer J, Hruban R et al. Echocardiographic findings in fulminant and acute myocarditis. J Am Coll Cardiol 2000;36:227–232.
36. Afonso L, Hari P, Pidlaoan V et al. Acute myocarditis: Can novel echocardiographic techniques assist with diagnosis? Eur J Echocardiogr 2010;11: E5.
37. Bossone E, Lyon A, Citro R et al. Takotsubo cardiomyopathy: An integrated multiimaging approach. Eur Heart J Cardiovasc Imaging 2014;15:366–377.
38. Hurst R, Prasad A, Askew J et al. Takotsubo cardiomyopathy: A unique cardiomyopathy with variable ventricular morphology. JACC Cardiovasc Imaging 2010;3: 641–649.
39. Madhavan M, Rihal C, Lerman A et al. Acute heart failure in apical ballooning syndrome (TakoTsubo/stress cardiomyopathy): Clinical correlates and Mayo Clinic risk score. J Am Coll Cardiol 2011;57:1400–1401.
40. Haghi D, Athanasiadis A, PapavassiliuTet al. Right ventricular involvement in Takotsubo cardiomyopathy. Eur Heart J 2006;27:2433–2439.
41. Kurowski V, Kaiser A, von Hof K et al. Apical and midventricular transient left ventricular dysfunction syndrome (tako-tsubo cardiomyopathy): Frequency, mechanisms, and prognosis. Chest 2007;132:809–816.
42. Sharkey S, Lesser J, Zenovich A et al. Acute and reversible cardiomyopathy provoked by stress in women from the United States. Circulation 2005;111:472–479.
43. Hagan P, Nienaber C, Isselbacher E et al. The International Registry of Acute Aortic Dissection (IRAD): New insights into an old disease. JAMA 2000;283:897–903.
44. Flachskampf FA, Wouters PF, Edvardsen T et al. Transoesophageal echocardiography: EACVI update 2014. Eur Heart J Cardiovasc Imaging 2014;15:353–365.
45. Nienaber CA, von Kodolitsch Y, Nicolas Vet al. The diagnosis of thoracic aortic dissection by noninvasive imaging procedures. N Engl J Med 1993;328:1–9.
46. Erbel R, Oelert H, Meyer J et al. Effect of medical and surgical therapy on aortic dissection evaluated by transesophageal echocardiography. Implications for prognosis and therapy. The European Cooperative Study Group on Echocardiography. Circulation 1993;87:1604–1615.
47. Nienaber C, Sievers HH. Intramural hematoma in acute aortic syndrome: More than one variant of dissection? Circulation 2002;106:284–285.
48. KimSH, Song JM, Jung IH et al. Initial echocardiographic characteristics of pericardial effusion determine the pericardial complications. Int J Cardiol 2009;136:151–155.
49. Bonnefoy E, Godon P, Kirkorian G et al. Serum cardiac troponin I and ST-segment elevation in patients with acute pericarditis. Eur Heart J 2000;21:832–836.
50. Metra M, Brutsaert D, Dei Cas L et al. Acute heart failure: epidemiology, classification, and pathophysiology. In: TubaroM, Danchin N, FilippatosGet al. (eds) The ESC textbook of intensive and acute cardiac care. Oxford: Oxford University Press, 2010, pp. 471–482.
51. McMurray J, Adamopoulos S, Anker S et al. ESC Guidelines for the diagnosis and treatment of acute and chronic heart failure 2012: The Task Force for the Diagnosis and Treatment of Acute andChronic Heart Failure 2012 of the European Society of Cardiology. Developed in collaboration with the Heart Failure Association (HFA) of the ESC. Eur Heart J 2012;33:1787–1847.
52. Dao Q, Krishnaswamy P, Kazanegra R et al. Utility of B-type natriuretic peptide in the diagnosis of congestive heart failure in an urgent-care setting. J Am Coll Cardiol 2001;37:379–385.
53. Nagueh S, Appleton C, Gillebert Tet al. Recommendations for the evaluation of left ventricular diastolic function by echocardiography. Eur J Echocardiogr 2009;10: 165–193.
54. Vignon P, AitHssain A, Franc¸oisBet al. Echocardiographic assessment of pulmonary artery occlusion pressure in ventilated patients: A transesophageal study. Crit Care 2008;12: R18.
55. PaulusW, Tschope C, Sanderson J et al. How to diagnose diastolic heart failure: A consensus statement on the diagnosis of heart failure with normal left ventricular ejection fraction by the Heart Failure and Echocardiography Associations of the European Society of Cardiology. Eur Heart J 2007;28:2539–2550.
56. Rivas-Gotz C, Manolios M, Thohan V et al. Impact of left ventricular ejection fraction on estimation of left ventricular filling pressures using tissue Doppler and flow propagation velocity. Am J Cardiol 2003;91:780–784.
57. Galderisi M, Lancellotti P, Donal E et al. European multicentre validation study of the accuracy of E/e’ ratio in estimating invasive left ventricular filling pressure: EUROFILLING study. Eur Heart J Cardiovasc Imaging. 2014;15(7): 810–816.
58. Nagueh S, Kopelen H, Quinones M. Assessment of left ventricular filling pressure by Doppler in the presence of Atrial fibrillation. Circulation 1996;94:2138–2145.
59. Stevenson L, Tillisch J, Hamilton M et al. Importance of hemodynamic response to therapy in predicting survival with ejection fraction less than or equal to 20% secondary to ischemic or nonischemic dilated cardiomyopathy. Am J Cardiol 1990;66: 1348–1354.
60. Mor-Avi V, Lang R, Badano L et al. Current and evolving echocardiographic techniques for the quantitative evaluation of cardiac mechanics: ASE/EAE consensus statement on methodology and indications endorsed by the Japanese Society of Echocardiography. Eur J Echocardiogr 2011;12:167–205.
61. Wang J, Khoury D, Yue Y et al. Preserved left ventricular twist and circumferential deformation, but depressed longitudinal and radial deformation in patients with diastolic heart failure. Eur Heart J 2008;29:1283–1289.
62. Ryan T. Masses, tumors, and source of embolus. In: Feigenbaum H, Armstrong WF (eds) Feigenbaum’s echocardiography. 6th ed. Philadelphia, PA: Lippincott Williams and Wilkins, 2005, pp.701–733.
63. Pepi M, Evangelista A, Nihoyannopoulos P et al. Recommendations for echocardiography use in the diagnosis and management of cardiac sources of embolism: European Association of Echocardiography (EAE) (a registered branch of the ESC). Eur J Echocardiogr 2010;11:461–476.
64. Stein P, Henry J. Clinical characteristics of patients with acute pulmonary embolism stratified according to their presenting syndromes. Chest 1997;112:974–979.
65. Leibowitz D. Role of echocardiography in the diagnosis and treatment of acute pulmonary thromboembolism. J Am Soc Echocardiogr 2001;14:921–926.
66. Casazza F, Bongarzoni A, Centonze F et al. Prevalence and prognostic significance of right-sided cardiac mobile thrombi in acute massive pulmonary embolism. Am J Cardiol 1997;79:1433–1435.
67. Torbicki A, Perrier A, Konstantinides S et al. Guidelines on the diagnosis and management of acute pulmonary embolism: The Task Force for the Diagnosis and Management of Acute Pulmonary Embolism of the European Society of Cardiology (ESC). Eur Heart J 2008;29:2276–2315.
68. Haddad F, Doyle R, Murphy D et al. Right ventricular function in cardiovascular disease, part II: Pathophysiology, clinical importance, and management of right ventricular failure. Circulation 2008;117:1717–1731.
69. McConnell M, Solomon S, Rayan M et al. Regional right ventricular dysfunction detected by echocardiography in acute pulmonary embolism. Am J Cardiol 1996; 78:469–473.
70. Moore C, Copel J. Point-of-care ultrasonography. N Engl J Med 2011;364:749–757.
71. Lichtenstein D, Meziere G, Biderman P et al. The comettail artifact: An ultrasound sign ruling out pneumothorax. Intensive Care Med 1999;25:383–388.
72. Lichtenstein D, Meziere G, Biderman P et al. The ‘lung point’: An ultrasound sign specific to pneumothorax. Intensive Care Med 2000;26:1434–1440.
73. DiwanA,McCulloch M, LawrieGMet al. Doppler estimation of left ventricular filling pressures in patients with mitral valve disease. Circulation 2005;111:3281–3289.
74. Hollister N, Bond R, Donovan A et al. Saved by focused echo evaluation in resuscitation. Emerg Med J 2011;28:986–989.
75. Griffee M, Merkel M,Wei K. The role of echocardiography in hemodynamic assessment of septic shock. Crit Care Clin 2010;26:365–382.
76. Basu S, Frank LH, Fenton KE et al. Two-dimensional speckle tracking imaging detects impaired myocardial performance in children with septic shock, not recognized by conventional echocardiography. Pediatr Crit Care Med 2012;13:259–264.
77. Narducci ML, Pelargonio G, Russo E et al. Usefulness of intracardiac echocardiography for the diagnosis of cardiovascular implantable electronic device-related endocarditis. J Am Coll Cardiol 2013;61:1398–1405.
78. Pepi M, Muratori M. Echocardiography in the diagnosis and management of pericardial disease. J Cardiovasc Med 2006;7:533–544.
79. Klein T, Ramani G. Assessment and management of cardiogenic shock in the emergency department. Cardiol Clin 2012;30:651–664.
80. Engstrom A, Vis M, Bouma B et al. Mitral regurgitation is an independent predictor of 1-year mortality in ST-elevation myocardial infarction patients presenting in cardiogenic shock on admission. Acute Card Care 2010;12:51–57.
81. Lancellotti P, Tribouilloy C, Hagendorff A et al. Scientific Document Committee of the European Association of Cardiovascular Imaging. Recommendations for the echocardiographic assessment of native valvular regurgitation: An executive summary from the European Association of Cardiovascular Imaging. Eur Heart J Cardiovasc Imaging 2013;14:611–644.
82. Cosyns B, Garbi M, Separovic J et al. Education Committee of the European Association of Cardiovascular Imaging Association (EACVI). Update of the Echocardiography Core Syllabus of the European Association of Cardiovascular Imaging (EACVI). Eur Heart J Cardiovasc Imaging 2013;14:837–839.
83. Habib G, Badano L, TribouilloyCet al. Recommendations for the practice of echocardiography in infective endocarditis. Eur J Echocardiogr 2010;11:202–219.
84. Vahanian A, Alfieri O, Andreotti F et al. Guidelines on the management of valvular heart disease (version 2012): Joint Task Force on the Management of Valvular Heart Disease of the European Society of Cardiology, European Association for Cardio-Thoracic Surgery. Eur Heart J 2012;33:2451–2496.
85. Baumgartner H, Hung J, Bermejo J et al. Echocardiographic assessment of valve stenosis: EAE/ASE recommendations for clinical practice. Eur J Echocardiogr 2009; 10:1–25.
86. Smith LA, Monaghan MJ. Monitoring of procedures: Peri-interventional echo assessment for transcatheter aortic valve implantation. Eur Heart J Cardiovasc Imaging 2013;14:840–850.
87. Zamorano J, Badano L, Bruce C et al. EAE/ASE recommendations for the use of echocardiography in new transcatheter interventions for valvular heart disease. Eur Heart J 2011;32:2189–2214.
88. ZoghbiW, Chambers J, Dumesnil J et al. Recommendations for evaluation of prosthetic valves with echocardiography and Doppler ultrasound. J AmSoc Echocardiogr 2009;22:975–1014.
89. Goncalves A, Almeria C, Marcos-Alberca P et al. Three dimensional echocardiography in paravalvular aortic regurgitation assessment after transcatheter aortic valve implantation. J Am Soc Echocardiogr 2012;25:47–55.
90. Hamilton-Craig C, Boga T, Platts D et al. The role of 3D transesophageal echocardiography during percutaneous closure of paravalvular mitral regurgitation. JACC Cardiovasc Imaging 2009;2:771–773.
91. Bach DS. Echo/Doppler evaluation of hemodynamics after aortic valve replacement: Principles of interrogation and evaluation of high gradients. JACC Cardiovasc Imaging 2010;3:296–304.
92. Al Omari M, Finstuen J, AppletonCet al. Echocardiographic assessment of left ventricular diastolic function and filling pressure in atrial fibrillation. Am J Cardiol 2008; 101:1759–1765.
93. Sumida T, Tanabe K, Yagi T et al. Single-beat determination of Doppler-derived aortic flow measurement in patients with atrial fibrillation. J Am Soc Echocardiogr 2003;16:712–715.
94. Poulsen S, Jensen S, GotzscheOet al. Evaluation and prognostic significance of left ventricular diastolic function assessed by Doppler echocardiography in the early phase of a first acute myocardial infarction. Eur Heart J 1997;18:1882–1889.
95. Govindan M, Kiotsekoglou A, Saha S et al. Validation of echocardiographic left atrial parameters in atrial fibrillation using the index beat of preceding cardiac cycles of equal duration. J Am Soc Echocardiogr 2011;24:1141–1147.
96. Nagueh SF, Bierig SM, Matthew JB et al. American Society of Echocardiography Clinical Recommendations for Multimodality Cardiovascular Imaging of Patients with Hypertrophic Cardiomyopathy. J Am Soc Echocardiogr 2011;24:473–498.
97. Gersh B, Maron B, Bonow R et al. 2011 ACCF/AHA guideline for the diagnosis and treatment of hypertrophic cardiomyopathy: A report of the American College of Cardiology Foundation/American Heart Association Task Force on Practice Guidelines. Circulation 2011;58(25): e212–e260.
98. Haugaa K, Edvardsen T, Leren T et al. Left ventricular mechanical dispersion by tissue Doppler imaging: A novel approach for identifying high-risk individuals with long QT syndrome. Eur Heart J 2009;30:330–337.
99. Haugaa K, Amlie J, Berge Ket al. Transmural differences in myocardial contraction in long-QT syndrome: Mechanical consequences of ion channel dysfunction. Circulation 2010;122:1355–1363.
100. Lang RM, Badano LP, Afilalo J et al. Recommendations for cardiac chamber quantification by echocardiography: An update from the American Society of Echocardiography and the European Association of Cardiovascular Imaging. Eur Heart J Cardiovasc Imaging 2014; in press.
101. Steenburg S, Ravenel J, Ikonomidis J et al. Acute traumatic aortic injury: Imaging evaluation and management. Radiology 2008;248:748–762.
102. Karalis D, Victor M, Davis G et al. The role of echocardiography in blunt chest trauma: A transthoracic and transesophageal echocardiographic study. J Trauma 1994;36:53–58.
103. van Wijngaarden M, Karmy-Jones R, Talwar M et al. Blunt cardiac injury: A 10 year institutional review. Injury 1997;28:51–55.
104. Chirillo F, Totis O, Cavarzerani A et al. Usefulness of transthoracic and transoesophageal echocardiography in recognition and management of cardiovascular injuries after blunt chest trauma. Heart 1996;75:301–306.
105. Estep J, Stainback R, Little S et al. The role of echocardiography and other imaging modalities in patients with left ventricular assist devices. JACC Cardiovasc Imaging 2010;3:1049–1064.
106. Ammar K, UmlandM, Kramer Cet al. The ABCs of left ventricular assist device echocardiography: Asystematic approach.EurHeart J Cardiovasc Imaging 2012;13:885–899.